别名:HSP72; HSPA1; HSX70应用:WB,IHC,FCM,IP
反应种属:Human
规格:50μl/100μl
| Description |
|---|
| In conjuction with other heat shock proteins, this protein stabilizes existing proteins against aggregation and mediates the folding of newly translated proteins in the cytosol and in organelles. It is also involved in the ubiquitin-proteasome pathway through interaction with the AU-rich element RNA-binding protein 1. The gene is located in the major histocompatibility complex class III region, in a cluster with two closely related genes which encode similar proteins. |
| Specification | |
|---|---|
| Aliases | HSP72; HSPA1; HSX70 |
| Entrez GeneID | 3303 |
| Swissprot | P0DMV8 |
| WB Predicted band size | Calculated MW: 70 kDa; Observed MW: 70 kDa |
| Host/Isotype | Rabbit IgG |
| Storage | Store at 4°C short term. Aliquot and store at -20°C long term. Avoid freeze/thaw cycles. |
| Species Reactivity | Human |
| Immunogen | Recombinant protein of human Hsp70 |
| Formulation | 50mM Tris-Glycine(pH 7.4), 0.15M NaCl, 40% Glycerol, 0.01% Sodium azide and 0.05% BSA |
| Application | |
|---|---|
| IP | 1/20 |
| WB | 1/500-1/1000 |
| IHC | 1/50-1/100 |
| FCM | 1/50-1/100 |
![]() |
Western blot analysis of Hsp70 in Hela, HCT116, A549 lysates using Hsp70 antibody. |
![]() |
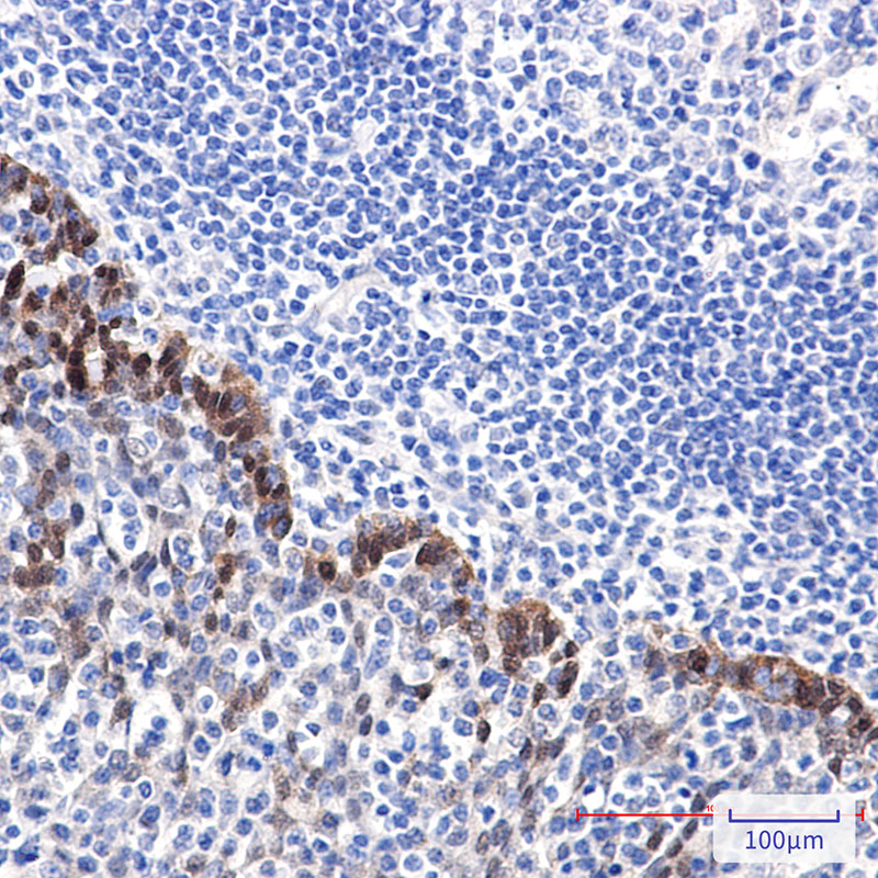
Immunohistochemistry analysis of paraffin-embedded Human tonsil using Hsp70 antibody.High-pressure and temperature Sodium Citrate pH 6.0 was used for antigen retrieval. |
本公司的所有产品仅用于科学研究或者工业应用等非医疗目的,不可用于人类或动物的临床诊断或治疗,非药用,非食用。
暂无评论
本公司的所有产品仅用于科学研究或者工业应用等非医疗目的,不可用于人类或动物的临床诊断或治疗,非药用,非食用。
中文


发表回复