别名:78 kDa glucose-regulated protein, GRP-78, Endoplasmic reticulum lumenal Ca(2+)-binding protein grp78, Heat shock 70 kDa protein 5, Immunoglobulin heavy chain-binding protein, BiP, HSPA5, GRP78应用:WB,IHC,ICC,FCM
反应种属:Human, Mouse
规格:50μl/100μl
| Description |
|---|
| In cooperation with other chaperones, HSP70s stabilize preexistent proteins against aggregation and mediate the folding of newly translated polypeptides in the cytosol as well as within organelles. The HSP70s in mitochondria and the endoplasmic reticulum play an additional role by providing a driving force for protein translocation. They are involved in signal transduction pathways in cooperation with HSP90. They participate in all these processes through their ability to recognize nonnative conformations of other proteins. They bind extended peptide segments with a net hydrophobic character exposed by polypeptides during translation and membrane translocation, or following stress-induced damage. |
| Specification | |
|---|---|
| Aliases | 78 kDa glucose-regulated protein, GRP-78, Endoplasmic reticulum lumenal Ca(2+)-binding protein grp78, Heat shock 70 kDa protein 5, Immunoglobulin heavy chain-binding protein, BiP, HSPA5, GRP78 |
| Entrez GeneID | 3309 |
| Swissprot | P11021 |
| WB Predicted band size | 72.3kDa |
| Host/Isotype | Rabbit IgG |
| Storage | Store at 4°C short term. Aliquot and store at -20°C long term. Avoid freeze/thaw cycles. |
| Species Reactivity | Human, Mouse |
| Immunogen | This HSPA5 antibody is generated from rabbits immunized with a recombinant protein encoding full length human HSPA5. |
| Formulation | Purified polyclonal antibody supplied in PBS with 0.05% sodium azide. This antibody is prepared by Saturated Ammonium Sulfate (SAS) precipitation followed by dialysis against PBS. |
| Application | |
|---|---|
| WB | 1/1000 |
| IHC | 1/100-1/500 |
| ICC | 1/10-1/50 |
| FCM | 1/10-1/50 |
![]() |
The anti-HSPA5 Pab (Cat. #P30051) is used in Western blot to detect HSPA5 in mouse liver tissue lysate. HSPA5 (arrow) was detected using the purified Pab. |
![]() |
Western blot analysis of anti-HSPA5 Pab (Cat. #P30051) in HL60 cell line lysates (35ug/lane).HSPA5(arrow) was detected using the purified Pab. |
![]() |
Confocal immunofluorescent analysis of HSPA5 Antibody(Cat#P30051) with NCI-H460 cell followed by Alexa Fluor 488-conjugated goat anti-rabbit lgG (green). DAPI was used to stain the cell nuclear (blue). |
![]() |
HSPA5 Antibody (Cat. #P30051) flow cytometric analysis of Hela cells (right histogram) compared to a negative control cell (left histogram).FITC-conjugated goat-anti-rabbit secondary antibodies were used for the analysis. |
![]() |
Formalin-fixed and paraffin-embedded human prostata carcinoma tissue reacted with HSPA5 antibody (Cat.#P30051), which was peroxidase-conjugated to the secondary antibody, followed by DAB staining. This data demonstrates the use of this antibody for immunohistochemistry; clinical relevance has not been evaluated. |
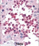
![]() |
Formalin-fixed and paraffin-embedded human Testis tissue reacted with HSPA5 antibody (Cat.#P30051), which was peroxidase-conjugated to the secondary antibody, followed by AEC staining. This data demonstrates the use of this antibody for immunohistochemistry; clinical relevance has not been evaluated. |
本公司的所有产品仅用于科学研究或者工业应用等非医疗目的,不可用于人类或动物的临床诊断或治疗,非药用,非食用。
暂无评论
本公司的所有产品仅用于科学研究或者工业应用等非医疗目的,不可用于人类或动物的临床诊断或治疗,非药用,非食用。
中文






发表回复