别名:PP25; IFT25; C1orf41; HSPCO34应用:IHC
反应种属:Human, Mouse
规格:50μl/100μl
| Description |
|---|
| Component of the IFT complex B required for sonic hedgehog/SHH signaling. May mediate transport of SHH components: required for the export of SMO and PTCH1 receptors out of the cilium and the accumulation of GLI2 at the ciliary tip in response to activation of the SHH pathway, suggesting it is involved in the dynamic transport of SHH signaling molecules within the cilium. Not required for ciliary assembly (By similarity). |
| Specification | |
|---|---|
| Aliases | PP25; IFT25; C1orf41; HSPCO34 |
| Swissprot | Q9Y547 |
| Host/Isotype | Rabbit IgG |
| Storage | Store at 4°C short term. Aliquot and store at -20°C long term. Avoid freeze/thaw cycles. |
| Species Reactivity | Human, Mouse |
| Immunogen | Synthetic peptide of human HSPB11 |
| Formulation | pH7.4 PBS, 0.05% NaN3, 40% Glycerol |
| Application | |
|---|---|
| IHC | 1/20-1/100 |
| ELISA | 1/5000-1/10000 |
![]() |
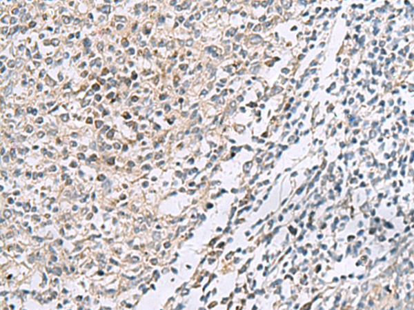
The image is immunohistochemistry of paraffin-embedded Human liver cancer tissue using P06862(HSPB11 Antibody) at dilution 1/20. (Original magnification: ×200) |
![]() |
The image is immunohistochemistry of paraffin-embedded Human tonsil tissue using P06862(HSPB11 Antibody) at dilution 1/20. (Original magnification: ×200) |
本公司的所有产品仅用于科学研究或者工业应用等非医疗目的,不可用于人类或动物的临床诊断或治疗,非药用,非食用。
暂无评论
本公司的所有产品仅用于科学研究或者工业应用等非医疗目的,不可用于人类或动物的临床诊断或治疗,非药用,非食用。
中文


发表回复