别名:HEL55; Hsp20应用:IHC
反应种属:Human, Mouse, Rat
规格:50μl/100μl
| Description |
|---|
| The heat shock proteins (HSPs) comprise a group of highly conserved, abundantly expressed proteins with diverse functions, including the assembly and sequestering of multiprotein complexes, transportation of nascent poly-peptide chains across cellular membranes and regulation of protein folding. Heat shock proteins (also known as molecular chaperones) fall into six general families: HSP 90, HSP 70, HSP 60, the low molecular weight HSPs, the immunophilins and the HSP 110 family. The low molecular weight family includes HSP 10, HSP 20, HSP 27 (Heme Oxygenase 1), HSP 32 and HSP 40. HSP 20 occurs in two complex sizes, dimers and multimers. It is related to stress proteins and occurs most abundantly in skeletal muscle and heart. HSP 20 is considerably shorter at the C-terminus and less polar than other small heat shock proteins. |
| Specification | |
|---|---|
| Aliases | HEL55; Hsp20 |
| Swissprot | O14558 |
| Host/Isotype | Rabbit IgG |
| Storage | Store at 4°C short term. Aliquot and store at -20°C long term. Avoid freeze/thaw cycles. |
| Species Reactivity | Human, Mouse, Rat |
| Immunogen | Synthetic peptide of human HSPB6 |
| Formulation | pH7.4 PBS, 0.05% NaN3, 40% Glycerol |
| Application | |
|---|---|
| IHC | 1/50-1/200 |
| ELISA | 1/2000-1/5000 |
![]() |
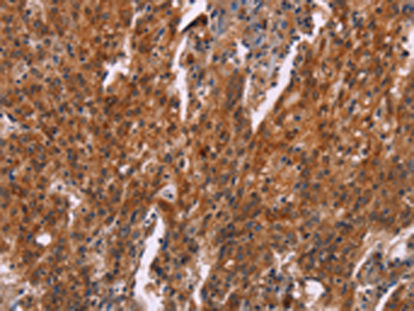
The image is immunohistochemistry of paraffin-embedded Human thyroid cancer tissue using P04949(HSPB6 Antibody) at dilution 1/30. (Original magnification: ×200) |
![]() |
The image is immunohistochemistry of paraffin-embedded Human gastric cancer tissue using P04949(HSPB6 Antibody) at dilution 1/30. (Original magnification: ×200) |
本公司的所有产品仅用于科学研究或者工业应用等非医疗目的,不可用于人类或动物的临床诊断或治疗,非药用,非食用。
暂无评论
本公司的所有产品仅用于科学研究或者工业应用等非医疗目的,不可用于人类或动物的临床诊断或治疗,非药用,非食用。
中文


发表回复