别名:S12; 5-HT1B; HTR1D2; HTR1DB; 5-HT1DB应用:IHC
反应种属:Human
规格:50μl/100μl
| Description |
|---|
| The neurotransmitter serotonin (5-hydroxytryptamine; 5-HT) exerts a wide variety of physiologic functions through a multiplicity of receptors and may be involved in human neuropsychiatric disorders such as anxiety, depression, or migraine. These receptors consist of several main groups subdivided into several distinct subtypes on the basis of their pharmacologic characteristics, coupling to intracellular second messengers, and distribution within the nervous system (Zifa and Fillion, 1992 [PubMed 1359584]). The serotonergic receptors belong to the multigene family of receptors coupled to guanine nucleotide-binding proteins. |
| Specification | |
|---|---|
| Aliases | S12; 5-HT1B; HTR1D2; HTR1DB; 5-HT1DB |
| Swissprot | P28222 |
| Host/Isotype | Rabbit IgG |
| Storage | Store at 4°C short term. Aliquot and store at -20°C long term. Avoid freeze/thaw cycles. |
| Species Reactivity | Human |
| Immunogen | Synthetic peptide of human HTR1B |
| Formulation | pH7.4 PBS, 0.05% NaN3, 40% Glycerol |
| Application | |
|---|---|
| IHC | 1/10-1/50 |
| ELISA | 1/1000-1/2000 |
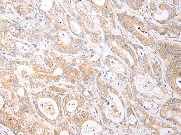
![]() |
The image is immunohistochemistry of paraffin-embedded Human esophagus cancer tissue using P05671(HTR1B Antibody) at dilution 1/20. (Original magnification: ×200) |
![]() |
The image is immunohistochemistry of paraffin-embedded Human gastric cancer tissue using P05671(HTR1B Antibody) at dilution 1/20. (Original magnification: ×200) |
本公司的所有产品仅用于科学研究或者工业应用等非医疗目的,不可用于人类或动物的临床诊断或治疗,非药用,非食用。
暂无评论
本公司的所有产品仅用于科学研究或者工业应用等非医疗目的,不可用于人类或动物的临床诊断或治疗,非药用,非食用。
中文


发表回复