别名:5-hydroxytryptamine receptor 1E, 5-HT-1E, 5-HT1E, S31, Serotonin receptor 1E, HTR1E应用:WB,IHC
反应种属:Human
规格:50μl/100μl
| Description |
|---|
| G-protein coupled receptor for 5-hydroxytryptamine (serotonin). Also functions as a receptor for various alkaloids and psychoactive substances. Ligand binding causes a conformation change that triggers signaling via guanine nucleotide-binding proteins (G proteins) and modulates the activity of down-stream effectors, such as adenylate cyclase. Signaling inhibits adenylate cyclase activity. |
| Specification | |
|---|---|
| Aliases | 5-hydroxytryptamine receptor 1E, 5-HT-1E, 5-HT1E, S31, Serotonin receptor 1E, HTR1E |
| Entrez GeneID | 3354 |
| Swissprot | P28566 |
| WB Predicted band size | 41.7kDa |
| Host/Isotype | Rabbit IgG |
| Storage | Store at 4°C short term. Aliquot and store at -20°C long term. Avoid freeze/thaw cycles. |
| Species Reactivity | Human |
| Immunogen | This HTR1E antibody is generated from a rabbit immunized with a KLH conjugated synthetic peptide between 223-258 amino acids from human HTR1E. |
| Application | |
|---|---|
| WB | 1/2000 |
| IHC | 1/100-1/500 |
![]() |
All lanes : Anti-HTR1E Antibody (C-Term) at 1:2000 dilution Lane 1: DU145 whole cell lysate Lane 2: human brain lysate Lysates/proteins at 20 µg per lane. Secondary Predicted band size : 42 kDa Blocking/Dilution buffer: 5% NFDM/TBST. |
![]() |
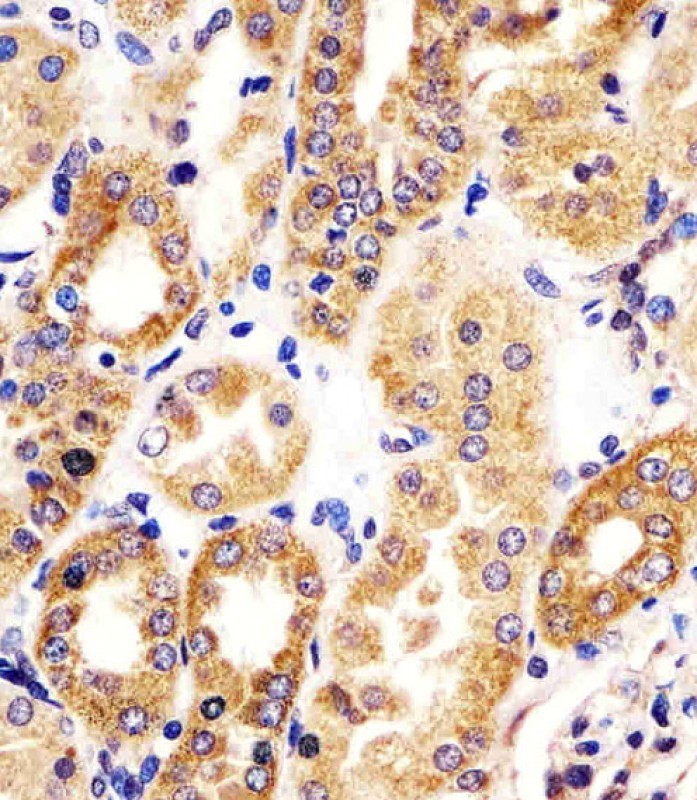
P33356 staining HTR1E in human kidney tissue sections by Immunohistochemistry (IHC-P – paraformaldehyde-fixed, paraffin-embedded sections). Tissue was fixed with formaldehyde and blocked with 3% BSA for 0. 5 hour at room temperature; antigen retrieval was by heat mediation with a citrate buffer (pH6). Samples were incubated with primary antibody (1/25) for 1 hours at 37°C. A undiluted biotinylated goat polyvalent antibody was used as the secondary antibody. |
本公司的所有产品仅用于科学研究或者工业应用等非医疗目的,不可用于人类或动物的临床诊断或治疗,非药用,非食用。
暂无评论
本公司的所有产品仅用于科学研究或者工业应用等非医疗目的,不可用于人类或动物的临床诊断或治疗,非药用,非食用。
中文


发表回复