别名:HTR2; 5-HT2A应用:WB,IHC
反应种属:Human, Mouse
规格:50μl/100μl
| Description |
|---|
| This gene encodes one of the receptors for serotonin, a neurotransmitter with many roles. Mutations in this gene are associated with susceptibility to schizophrenia and obsessive-compulsive disorder, and are also associated with response to the antidepressant citalopram in patients with major depressive disorder (MDD). MDD patients who also have a mutation in intron 2 of this gene show a significantly reduced response to citalopram as this antidepressant downregulates expression of this gene. Multiple transcript variants encoding different isoforms have been found for this gene. |
| Specification | |
|---|---|
| Aliases | HTR2; 5-HT2A |
| Swissprot | P28223 |
| WB Predicted band size | 53 kDa |
| Host/Isotype | Rabbit IgG |
| Storage | Store at 4°C short term. Aliquot and store at -20°C long term. Avoid freeze/thaw cycles. |
| Species Reactivity | Human, Mouse |
| Immunogen | Synthetic peptide of human HTR2A |
| Formulation | pH7.4 PBS, 0.05% NaN3, 40% Glycerol |
| Application | |
|---|---|
| WB | 1/500-1/2000 |
| IHC | 1/50-1/100 |
| ELISA | 1/5000-1/10000 |
![]() |
Gel: 8%SDS-PAGE, Lysate: 40 μg, Lane: Mouse brain tissue lysate, Primary antibody: P12545(HTR2A Antibody) at dilution 1/400, Secondary antibody: Goat anti rabbit IgG at 1/5000 dilution, Exposure time: 3 minutes |
![]() |
The image is immunohistochemistry of paraffin-embedded Human esophagus cancer tissue using P12545(HTR2A Antibody) at dilution 1/40. (Original magnification: ×200) |
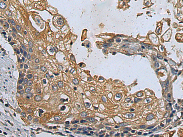
![]() |
The image is immunohistochemistry of paraffin-embedded Human colorectal cancer tissue using P12545(HTR2A Antibody) at dilution 1/40. (Original magnification: ×200) |
本公司的所有产品仅用于科学研究或者工业应用等非医疗目的,不可用于人类或动物的临床诊断或治疗,非药用,非食用。
暂无评论
本公司的所有产品仅用于科学研究或者工业应用等非医疗目的,不可用于人类或动物的临床诊断或治疗,非药用,非食用。
中文



发表回复