别名:OMI; MGCA8; PARK13; PRSS25应用:WB,IHC
反应种属:Human, Mouse
规格:50μl/100μl
| Description |
|---|
| This gene encodes a serine protease. The protein has been localized in the endoplasmic reticulum and interacts with an alternatively spliced form of mitogen-activated protein kinase 14. The protein has also been localized to the mitochondria with release to the cytosol following apoptotic stimulus. The protein is thought to induce apoptosis by binding the apoptosis inhibitory protein baculoviral IAP repeat-containing 4. Nuclear localization of this protein has also been observed. Alternate splicing of this gene results in multiple transcript variants encoding different isoforms. |
| Specification | |
|---|---|
| Aliases | OMI; MGCA8; PARK13; PRSS25 |
| Swissprot | O43464 |
| WB Predicted band size | 49 kDa |
| Host/Isotype | Rabbit IgG |
| Storage | Store at 4°C short term. Aliquot and store at -20°C long term. Avoid freeze/thaw cycles. |
| Species Reactivity | Human, Mouse |
| Immunogen | Synthetic peptide of human HTRA2 |
| Formulation | pH7.4 PBS, 0.05% NaN3, 40% Glycerol |
| Application | |
|---|---|
| WB | 1/500-1/2000 |
| IHC | 1/50-1/200 |
| ELISA | 1/5000-1/10000 |
![]() |
Gel: 8%SDS-PAGE, Lysate: 40 μg, Lane: Hela cell lysate, Primary antibody: P12751(HTRA2 Antibody) at dilution 1/1000, Secondary antibody: Goat anti rabbit IgG at 1/5000 dilution, Exposure time: 3 seconds |
![]() |
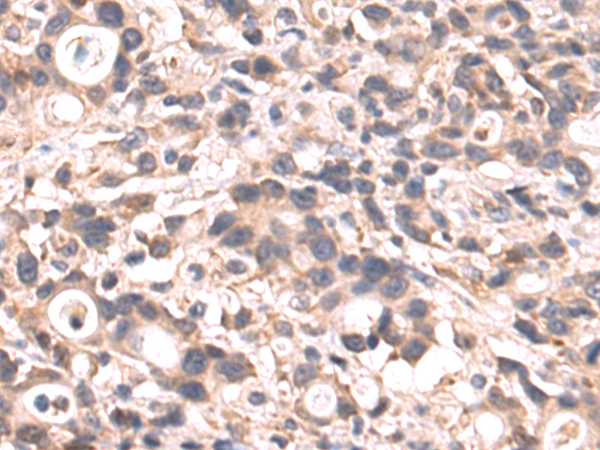
The image is immunohistochemistry of paraffin-embedded Human gastric cancer tissue using P12751(HTRA2 Antibody) at dilution 1/50. (Original magnification: ×200) |
本公司的所有产品仅用于科学研究或者工业应用等非医疗目的,不可用于人类或动物的临床诊断或治疗,非药用,非食用。
暂无评论
本公司的所有产品仅用于科学研究或者工业应用等非医疗目的,不可用于人类或动物的临床诊断或治疗,非药用,非食用。
中文


发表回复