别名:Serine protease HTRA3, 3421-, High-temperature requirement factor A3, Pregnancy-related serine protease, HTRA3, PRSP应用:WB,IHC
反应种属:Human, Mouse, Rat
规格:50μl/100μl
| Description |
|---|
| Insulin-like growth factors (IGFs) stimulate the proliferation and differentiation of a vast number of cell types. The action of the growth factors is mediated and controlled by a complex system of components, including several proteases that cleave the IGF-Binding Proteins. HtrA1 is a 480 aa protein that contains an N-terminus homologous to MAC25 (IGFBP7) with a conserved Kazal-type serine protease inhibitor motif, as well as a C-terminal PDZ domain. Semiquantitative RT-PCR and immunoblot analyses showed an approximately 7-fold increase of PRSS11 in osteoarthritis cartilage compared with controls. HTRA2 is released from mitochondria and inhibits the function of XIAP by direct binding in a way similar to SMAC. Moreover, when overexpressed extramitochondrially, HTRA2 induced atypical cell death, which was neither accompanied by a significant increase in caspase activity nor inhibited by caspase inhibitors, including XIAP. A catalytically inactive mutant of HTRA2, however, did not induce cell death. Suzuki et al. (2001) concluded that HTRA2 is a SMAC-like inhibitor of IAP (inhibitor of apoptosis proteins) activity with a serine protease-dependent cell death-inducing activity. |
| Specification | |
|---|---|
| Aliases | Serine protease HTRA3, 3421-, High-temperature requirement factor A3, Pregnancy-related serine protease, HTRA3, PRSP |
| Entrez GeneID | 94031 |
| Swissprot | P83110 |
| WB Predicted band size | 48.6kDa |
| Host/Isotype | Rabbit IgG |
| Storage | Store at 4°C short term. Aliquot and store at -20°C long term. Avoid freeze/thaw cycles. |
| Species Reactivity | Human, Mouse, Rat |
| Immunogen | This HtrA3 antibody is generated from rabbits immunized with a KLH conjugated synthetic peptide between 112-144 amino acids from the N-terminal region of human HtrA3. |
| Formulation | Purified polyclonal antibody supplied in PBS with 0.05% sodium azide. This antibody is prepared by Saturated Ammonium Sulfate (SAS) precipitation followed by dialysis against PBS. |
| Application | |
|---|---|
| WB | 1/1000 |
| IHC | 1/100-1/500 |
![]() |
The anti-HtrA3 N-term Pab (Cat. #P30050) is used in Western blot to detect HtrA3 in rat testis tissue lysate. |
![]() |
Anti-HtrA3 Antibody (N-term) at 1:1000 dilution + human heart lysate
Lysates/proteins at 20 µg per lane. Secondary Predicted band size : 49 kDa Blocking/Dilution buffer: 5% NFDM/TBST. |
![]() |
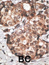
Formalin-fixed and paraffin-embedded human cancer tissue reacted with the primary antibody, which was peroxidase-conjugated to the secondary antibody, followed by DAB staining. This data demonstrates the use of this antibody for immunohistochemistry; clinical relevance has not been evaluated. BC = breast carcinoma; HC = hepatocarcinoma. |
![]() |
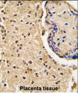
Formalin-fixed and paraffin-embedded human placenta tissue reacted with HtrA3 antibody (N-term), which was peroxidase-conjugated to the secondary antibody, followed by DAB staining. This data demonstrates the use of this antibody for immunohistochemistry; clinical relevance has not been evaluated. |
本公司的所有产品仅用于科学研究或者工业应用等非医疗目的,不可用于人类或动物的临床诊断或治疗,非药用,非食用。
暂无评论
本公司的所有产品仅用于科学研究或者工业应用等非医疗目的,不可用于人类或动物的临床诊断或治疗,非药用,非食用。
中文




发表回复