别名:应用:WB,IHC
反应种属:Human, Rat
规格:50μl/100μl
| Description |
|---|
| This gene encodes a member of the HtrA family of proteases. The encoded protein contains a putative signal peptide, an insulin growth factor binding domain, a Kazal protease inhibitor domain, a conserved trypsin domain and a PDZ domain. Based on studies on other related family members, this enzyme may function as a secreted oligomeric chaperone protease to degrade misfolded secretory proteins. Other human HtrA proteins have been implicated in arthritis, tumor suppression, unfolded stress response, apoptosis, and aging. |
| Specification | |
|---|---|
| Swissprot | P83105 |
| WB Predicted band size | 51 kDa |
| Host/Isotype | Rabbit IgG |
| Storage | Store at 4°C short term. Aliquot and store at -20°C long term. Avoid freeze/thaw cycles. |
| Species Reactivity | Human, Rat |
| Immunogen | Synthetic peptide of human HTRA4 |
| Formulation | pH7.4 PBS, 0.05% NaN3, 40% Glycerol |
| Application | |
|---|---|
| WB | 1/500-1/2000 |
| IHC | 1/30-1/150 |
| ELISA | 1/5000-1/10000 |
![]() |
Gel: 8%SDS-PAGE, Lysate: 40 μg, Lane 1-2: Human placenta tissue and 231 cell lysates, Primary antibody: P06721(HTRA4 Antibody) at dilution 1/400, Secondary antibody: Goat anti rabbit IgG at 1/8000 dilution, Exposure time: 3 minutes |
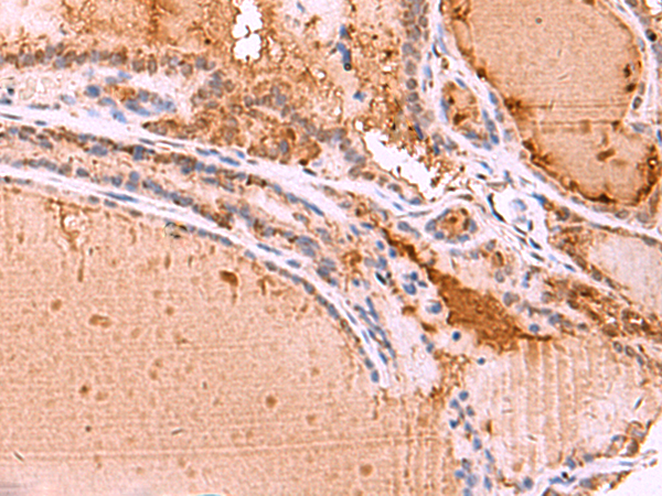
![]() |
The image is immunohistochemistry of paraffin-embedded Human thyroid cancer tissue using P06721(HTRA4 Antibody) at dilution 1/35. (Original magnification: ×200) |
本公司的所有产品仅用于科学研究或者工业应用等非医疗目的,不可用于人类或动物的临床诊断或治疗,非药用,非食用。
暂无评论
本公司的所有产品仅用于科学研究或者工业应用等非医疗目的,不可用于人类或动物的临床诊断或治疗,非药用,非食用。
中文


发表回复