别名:IGG4; Ig gamma 4 chain C region应用:WB,IHC
反应种属:Human
规格:50μl/100μl
| Description |
|---|
| IgG is a monomeric immunoglobulin, built of two heavy chains gamma and two light chains. Each molecule has two antigen binding sites. This is the most abundant immunoglobulin and is approximately equally distributed in blood and in tissue liquids, constituting 75% of serum immunoglobulins in humans. |
| Specification | |
|---|---|
| Aliases | IGG4; Ig gamma 4 chain C region |
| Entrez GeneID | 3503 |
| Swissprot | P01861 |
| WB Predicted band size | Calculated MW: 36 kDa; Observed MW: 36 kDa |
| Host/Isotype | Rabbit IgG |
| Storage | Store at 4°C short term. Aliquot and store at -20°C long term. Avoid freeze/thaw cycles. |
| Species Reactivity | Human |
| Immunogen | A synthesized peptide derived from human IgG4 |
| Formulation | Rabbit IgG in phosphate buffered saline , pH 7.4, 150mM NaCl, 0.02% sodium azide and 50% glycerol. |
| Application | |
|---|---|
| WB | 1/500-1/1000 |
| IHC | 1/50-1/100 |
![]() |
Western blot analysis of IgG4 in Human spleen lysates using Human IgG4 antibody. |
![]() |
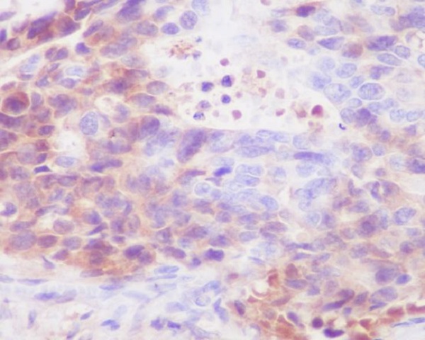
Immunohistochemistry analysis of paraffin-embedded Human stomach carcinoma using IgG4 antibody.High-pressure and temperature Sodium Citrate pH 6.0 was used for antigen retrieval. |
本公司的所有产品仅用于科学研究或者工业应用等非医疗目的,不可用于人类或动物的临床诊断或治疗,非药用,非食用。
暂无评论
本公司的所有产品仅用于科学研究或者工业应用等非医疗目的,不可用于人类或动物的临床诊断或治疗,非药用,非食用。
中文


发表回复