别名:Ig mu chain C region应用:WB,IHC,IP
反应种属:Human
规格:50μl/100μl
| Description |
|---|
| IgM measurement yields information about the body’s immediate resistance and response to infection as well as information related to specific diseases. Decreased levels are associated with immune deficiency states, hereditary deficiencies, and myeloma. Increased levels can be associated with Waldenstrom’s macroglobulinemia, chronic infection and hepatocellular disease. |
| Specification | |
|---|---|
| Aliases | Ig mu chain C region |
| Entrez GeneID | 3507 |
| Swissprot | P01871 |
| WB Predicted band size | Calculated MW: 49 kDa; Observed MW: 75 kDa |
| Host/Isotype | Rabbit IgG |
| Storage | Store at 4°C short term. Aliquot and store at -20°C long term. Avoid freeze/thaw cycles. |
| Species Reactivity | Human |
| Immunogen | A synthesized peptide derived from human Human IgM |
| Formulation | Rabbit IgG in phosphate buffered saline , pH 7.4, 150mM NaCl, 0.02% sodium azide and 50% glycerol. |
| Application | |
|---|---|
| IP | 1/20 |
| WB | 1/500-1/1000 |
| IHC | 1/50-1/100 |
![]() |
Western blot analysis of Human IgM in Human plasma lysates using Human IgM antibody. |
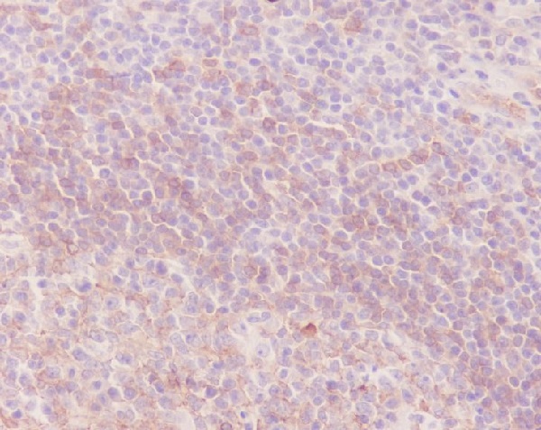
![]() |
Immunohistochemistry analysis of paraffin-embedded Human tonsil using Human IgM antibody.High-pressure and temperature Sodium Citrate pH 6.0 was used for antigen retrieval. |
本公司的所有产品仅用于科学研究或者工业应用等非医疗目的,不可用于人类或动物的临床诊断或治疗,非药用,非食用。
暂无评论
本公司的所有产品仅用于科学研究或者工业应用等非医疗目的,不可用于人类或动物的临床诊断或治疗,非药用,非食用。
中文


发表回复