别名:Hyaluronidase-1, Hyal-1, Hyaluronoglucosaminidase-1, Lung carcinoma protein 1, LuCa-1, HYAL1, LUCA1应用:WB,IHC
反应种属:Human
规格:50μl/100μl
| Description |
|---|
| This gene encodes a lysosomal hyaluronidase. Hyaluronidases intracellularly degrade hyaluronan, one of the major glycosaminoglycans of the extracellular matrix. Hyaluronan is thought to be involved in cell proliferation, migration and differentiation. This enzyme is active at an acidic pH and is the major hyaluronidase in plasma. Mutations in this gene are associated with mucopolysaccharidosis type IX, or hyaluronidase deficiency. The gene is one of several related genes in a region of chromosome 3p21.3 associated with tumor suppression. Multiple transcript variants encoding different isoforms have been found for this gene. |
| Specification | |
|---|---|
| Aliases | Hyaluronidase-1, Hyal-1, Hyaluronoglucosaminidase-1, Lung carcinoma protein 1, LuCa-1, HYAL1, LUCA1 |
| Entrez GeneID | 3373 |
| Swissprot | Q12794 |
| WB Predicted band size | 48.4kDa |
| Host/Isotype | Rabbit IgG |
| Storage | Store at 4°C short term. Aliquot and store at -20°C long term. Avoid freeze/thaw cycles. |
| Species Reactivity | Human |
| Immunogen | This HYAL1 antibody is generated from rabbits immunized with a KLH conjugated synthetic peptide between 280-309 amino acids from the C-terminal region of human HYAL1. |
| Formulation | Purified polyclonal antibody supplied in PBS with 0.05% sodium azide. This antibody is purified through a protein A column, followed by peptide affinity purification. |
| Application | |
|---|---|
| WB | 1/1000 |
| IHC | 1/100-1/500 |
![]() |
HYAL1 Antibody (C-term) (Cat. #P31549) western blot analysis in HepG2 cell line lysates (35ug/lane).This demonstrates the HYAL1 antibody detected the HYAL1 protein (arrow). |
![]() |
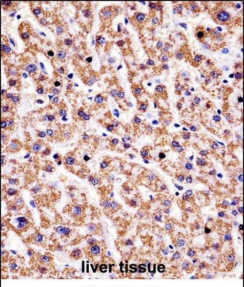
HYAL1 Antibody (C-term) (P31549)immunohistochemistry analysis in formalin fixed and paraffin embedded human liver tissue followed by peroxidase conjugation of the secondary antibody and DAB staining.This data demonstrates the use of HYAL1 Antibody (C-term) for immunohistochemistry. Clinical relevance has not been evaluated. |
本公司的所有产品仅用于科学研究或者工业应用等非医疗目的,不可用于人类或动物的临床诊断或治疗,非药用,非食用。
暂无评论
本公司的所有产品仅用于科学研究或者工业应用等非医疗目的,不可用于人类或动物的临床诊断或治疗,非药用,非食用。
中文


发表回复