别名:Hyaluronidase-2, Hyal-2, Hyaluronoglucosaminidase-2, Lung carcinoma protein 2, LuCa-2, HYAL2, LUCA2应用:WB,IHC,FCM
反应种属:Human
规格:50μl/100μl
| Description |
|---|
| This gene encodes a weak acid-active hyaluronidase. The encoded protein is similar in structure to other more active hyaluronidases. Hyaluronidases degrade hyaluronan, one of the major glycosaminoglycans of the extracellular matrix. Hyaluronan and fragments of hyaluronan are thought to be involved in cell proliferation, migration and differentiation. Although it was previously thought to be a lysosomal hyaluronidase that is active at a pH below 4, the encoded protein is likely a GPI-anchored cell surface protein. This hyaluronidase serves as a receptor for the oncogenic virus Jaagsiekte sheep retrovirus. The gene is one of several related genes in a region of chromosome 3p21.3 associated with tumor suppression. This gene encodes two alternatively spliced transcript variants which differ only in the 5′ UTR. |
| Specification | |
|---|---|
| Aliases | Hyaluronidase-2, Hyal-2, Hyaluronoglucosaminidase-2, Lung carcinoma protein 2, LuCa-2, HYAL2, LUCA2 |
| Entrez GeneID | 8692 |
| Swissprot | Q12891 |
| WB Predicted band size | 53.9kDa |
| Host/Isotype | Rabbit IgG |
| Storage | Store at 4°C short term. Aliquot and store at -20°C long term. Avoid freeze/thaw cycles. |
| Species Reactivity | Human |
| Immunogen | This HYAL2 antibody is generated from rabbits immunized with a KLH conjugated synthetic peptide between 385-412 amino acids from the C-terminal region of human HYAL2. |
| Formulation | Purified polyclonal antibody supplied in PBS with 0.05% sodium azide. This antibody is purified through a protein A column, followed by peptide affinity purification. |
| Application | |
|---|---|
| WB | 1/1000 |
| IHC | 1/100-1/500 |
| FCM | 1/10-1/50 |
![]() |
HYAL2 Antibody (C-term) (Cat. #P30838) western blot analysis in Hela cell line lysates (35ug/lane).This demonstrates the HYAL2 antibody detected the HYAL2 protein (arrow). |
![]() |
HYAL2 Antibody (C-term) (Cat. #P30838) flow cytometric analysis of Hela cells (right histogram) compared to a negative control cell (left histogram).FITC-conjugated goat-anti-rabbit secondary antibodies were used for the analysis. |
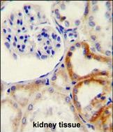
![]() |
HYAL2 Antibody (C-term) (Cat. #P30838) immunohistochemistry analysis in formalin fixed and paraffin embedded human kidney tissue followed by peroxidase conjugation of the secondary antibody and DAB staining. This data demonstrates the use of the HYAL2 Antibody (C-term) for immunohistochemistry. Clinical relevance has not been evaluated. |
本公司的所有产品仅用于科学研究或者工业应用等非医疗目的,不可用于人类或动物的临床诊断或治疗,非药用,非食用。
暂无评论
本公司的所有产品仅用于科学研究或者工业应用等非医疗目的,不可用于人类或动物的临床诊断或治疗,非药用,非食用。
中文



发表回复