别名:DAP; IAP应用:WB,IHC
反应种属:Human
规格:50μl/100μl
| Description |
|---|
| This gene encodes a member of the calcitonin family of peptide hormones. This hormone is released from pancreatic beta cells following food intake to regulate blood glucose levels and act as a satiation signal. Human patients with type 1 and advanced type 2 diabetes exhibit reduced levels of the encoded hormone in blood and pancreas. This protein also exhibits a bactericidal, antimicrobial activity. |
| Specification | |
|---|---|
| Aliases | DAP; IAP |
| Swissprot | P10997 |
| WB Predicted band size | 10 kDa |
| Host/Isotype | Rabbit IgG |
| Storage | Store at 4°C short term. Aliquot and store at -20°C long term. Avoid freeze/thaw cycles. |
| Species Reactivity | Human |
| Immunogen | Synthetic peptide of human IAPP |
| Formulation | pH7.4 PBS, 0.05% NaN3, 40% Glycerol |
| Application | |
|---|---|
| WB | 1/200-1/1000 |
| IHC | 1/25-1/50 |
| ELISA | 1/5000-1/10000 |
![]() |
Gel: 8%SDS-PAGE, Lysate: 40 μg, Lane: HL-60 cell lysate, Primary antibody: P06847(IAPP Antibody) at dilution 1/600, Secondary antibody: Goat anti rabbit IgG at 1/5000 dilution, Exposure time: 2 minutes |
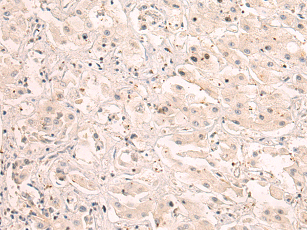
![]() |
The image is immunohistochemistry of paraffin-embedded Human liver cancer tissue using P06847(IAPP Antibody) at dilution 1/50. (Original magnification: ×200) |
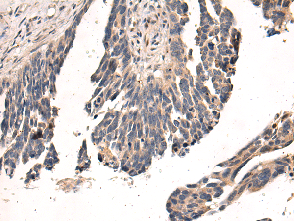
![]() |
The image is immunohistochemistry of paraffin-embedded Human colorectal cancer tissue using P06847(IAPP Antibody) at dilution 1/50. (Original magnification: ×200) |
本公司的所有产品仅用于科学研究或者工业应用等非医疗目的,不可用于人类或动物的临床诊断或治疗,非药用,非食用。
暂无评论
本公司的所有产品仅用于科学研究或者工业应用等非医疗目的,不可用于人类或动物的临床诊断或治疗,非药用,非食用。
中文



发表回复