别名:MMDS3; SPG74; C1orf69应用:IHC
反应种属:Human
规格:50μl/100μl
| Description |
|---|
| The protein encoded by this gene localizes to the mitochondrion and is part of the iron-sulfur cluster assembly pathway. The encoded protein functions late in the biosynthesis of mitochondrial 4Fe-4S proteins. Defects in this gene have been associated with autosomal recessive spastic paraplegia-74 and with multiple mitochondrial dysfunctions syndrome-3. Two transcript variants encoding different isoforms have been found for this gene. The smaller isoform is not likely to be localized to the mitochondrion since it lacks the amino-terminal transit peptide. |
| Specification | |
|---|---|
| Aliases | MMDS3; SPG74; C1orf69 |
| Swissprot | Q5T440 |
| Host/Isotype | Rabbit IgG |
| Storage | Store at 4°C short term. Aliquot and store at -20°C long term. Avoid freeze/thaw cycles. |
| Species Reactivity | Human |
| Immunogen | Synthetic peptide of human IBA57 |
| Formulation | pH7.4 PBS, 0.05% NaN3, 40% Glycerol |
| Application | |
|---|---|
| IHC | 1/30-1/150 |
| ELISA | 1/5000-1/10000 |
![]() |
The image is immunohistochemistry of paraffin-embedded Human ovarian cancer tissue using P12990(IBA57 Antibody) at dilution 1/65. (Original magnification: ×200) |
![]() |
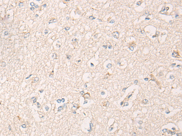
The image is immunohistochemistry of paraffin-embedded Human brain tissue using P12990(IBA57 Antibody) at dilution 1/65. (Original magnification: ×200) |
本公司的所有产品仅用于科学研究或者工业应用等非医疗目的,不可用于人类或动物的临床诊断或治疗,非药用,非食用。
暂无评论
本公司的所有产品仅用于科学研究或者工业应用等非医疗目的,不可用于人类或动物的临床诊断或治疗,非药用,非食用。
中文


发表回复