别名:Peptidyl-tRNA hydrolase ICT1, mitochondrial, 39S ribosomal protein L58, mitochondrial, MRP-L58, Digestion substraction 1, DS-1, Immature colon carcinoma transcript 1 protein, ICT1, DS1应用:WB,IHC
反应种属:Human
规格:50μl/100μl
| Description |
|---|
| Essential peptidyl-tRNA hydrolase component of the mitochondrial large ribosomal subunit. Acts as a codon-independent translation release factor that has lost all stop codon specificity and directs the termination of translation in mitochondrion, possibly in case of abortive elongation. May be involved in the hydrolysis of peptidyl-tRNAs that have been prematurely terminated and thus in the recycling of stalled mitochondrial ribosomes. |
| Specification | |
|---|---|
| Aliases | Peptidyl-tRNA hydrolase ICT1, mitochondrial, 39S ribosomal protein L58, mitochondrial, MRP-L58, Digestion substraction 1, DS-1, Immature colon carcinoma transcript 1 protein, ICT1, DS1 |
| Entrez GeneID | 3396 |
| Swissprot | Q14197 |
| WB Predicted band size | 23.6kDa |
| Host/Isotype | Rabbit IgG |
| Storage | Store at 4°C short term. Aliquot and store at -20°C long term. Avoid freeze/thaw cycles. |
| Species Reactivity | Human |
| Immunogen | This ICT1 antibody is generated from rabbits immunized with a KLH conjugated synthetic peptide between 153-179 amino acids from the C-terminal region of human ICT1. |
| Formulation | Purified polyclonal antibody supplied in PBS with 0.05% sodium azide. This antibody is purified through a protein A column, followed by peptide affinity purification. |
| Application | |
|---|---|
| WB | 1/1000 |
| IHC | 1/100-1/500 |
![]() |
ICT1 Antibody (C-term) (Cat. #P32478) western blot analysis in Hela,Jurkat,U251,MDA-MB453,NCI-H292,K562,ZR-75-1 cell line lysates (35ug/lane).This demonstrates the ICT1 antibody detected the ICT1 protein (arrow). |
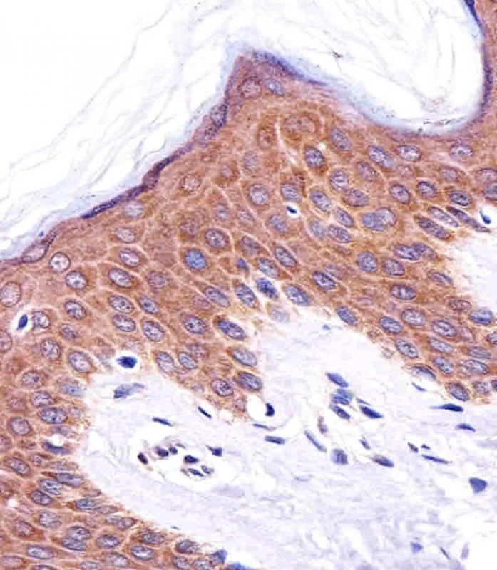
![]() |
Immunohistochemical analysis of paraffin-embedded H. skin section using ICT1 Antibody (C-term)(Cat#P32478). P32478 was diluted at 1:25 dilution. A undiluted biotinylated goat polyvalent antibody was used as the secondary, followed by DAB staining. |
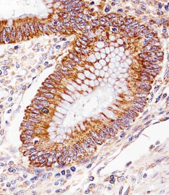
![]() |
Immunohistochemical analysis of paraffin-embedded H. colorectal carcinoma section using ICT1 Antibody (C-term)(Cat#P32478). P32478 was diluted at 1:25 dilution. A undiluted biotinylated goat polyvalent antibody was used as the secondary, followed by DAB staining. |
本公司的所有产品仅用于科学研究或者工业应用等非医疗目的,不可用于人类或动物的临床诊断或治疗,非药用,非食用。
暂无评论
本公司的所有产品仅用于科学研究或者工业应用等非医疗目的,不可用于人类或动物的临床诊断或治疗,非药用,非食用。
中文



发表回复