别名:MPS2; SIDS应用:IHC
反应种属:Human, Mouse
规格:50μl/100μl
| Description |
|---|
| This gene encodes a member of the sulfatase family of proteins. The encoded preproprotein is proteolytically processed to generate two polypeptide chains. This enzyme is involved in the lysosomal degradation of heparan sulfate and dermatan sulfate. Mutations in this gene are associated with the X-linked lysosomal storage disease mucopolysaccharidosis type II, also known as Hunter syndrome. Alternative splicing results in multiple transcript variants, at least one of which encodes a preproprotein that is proteolytically processed. |
| Specification | |
|---|---|
| Aliases | MPS2; SIDS |
| Swissprot | P22304 |
| Host/Isotype | Rabbit IgG |
| Storage | Store at 4°C short term. Aliquot and store at -20°C long term. Avoid freeze/thaw cycles. |
| Species Reactivity | Human, Mouse |
| Immunogen | Fusion protein of human IDS |
| Formulation | pH7.4 PBS, 0.05% NaN3, 40% Glycerol |
| Application | |
|---|---|
| IHC | 1/50-1/200 |
| ELISA | 1/5000-1/10000 |
![]() |
The image is immunohistochemistry of paraffin-embedded Human brain tissue using P03364(IDS Antibody) at dilution 1/70. (Original magnification: ×200) |
![]() |
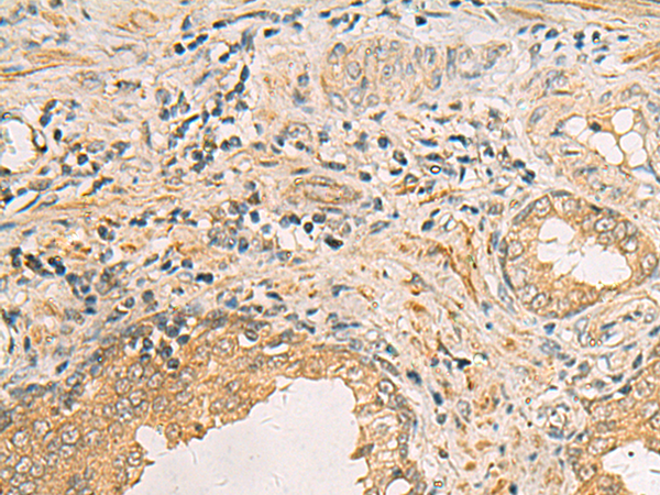
The image is immunohistochemistry of paraffin-embedded Human prostate cancer tissue using P03364(IDS Antibody) at dilution 1/70. (Original magnification: ×200) |
本公司的所有产品仅用于科学研究或者工业应用等非医疗目的,不可用于人类或动物的临床诊断或治疗,非药用,非食用。
暂无评论
本公司的所有产品仅用于科学研究或者工业应用等非医疗目的,不可用于人类或动物的临床诊断或治疗,非药用,非食用。
中文


发表回复