别名:PYHIN2; IFNGIP1应用:IHC
反应种属:Human
规格:50μl/100μl
| Description |
|---|
| This gene encodes a member of the HIN-200 (hematopoietic interferon-inducible nuclear antigens with 200 amino acid repeats) family of cytokines. The encoded protein contains domains involved in DNA binding, transcriptional regulation, and protein-protein interactions. The protein localizes to the nucleoplasm and nucleoli, and interacts with p53 and retinoblastoma-1. It modulates p53 function, and inhibits cell growth in the Ras/Raf signaling pathway. Alternatively spliced transcript variants encoding different isoforms have been found for this gene. |
| Specification | |
|---|---|
| Aliases | PYHIN2; IFNGIP1 |
| Swissprot | Q16666 |
| Host/Isotype | Rabbit IgG |
| Storage | Store at 4°C short term. Aliquot and store at -20°C long term. Avoid freeze/thaw cycles. |
| Species Reactivity | Human |
| Immunogen | Synthetic peptide of human IFI16 |
| Formulation | pH7.4 PBS, 0.05% NaN3, 40% Glycerol |
| Application | |
|---|---|
| IHC | 1/20-1/100 |
| ELISA | 1/5000-1/10000 |
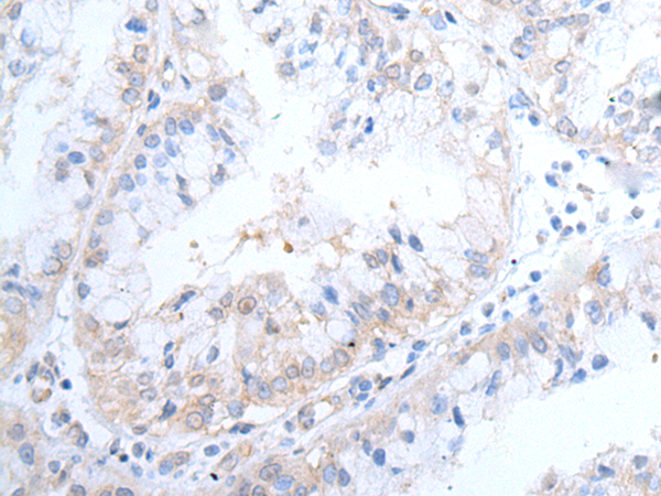
![]() |
The image is immunohistochemistry of paraffin-embedded Human esophagus cancer tissue using P05880(IFI16 Antibody) at dilution 1/25. (Original magnification: ×200) |
![]() |
The image is immunohistochemistry of paraffin-embedded Human liver cancer tissue using P05880(IFI16 Antibody) at dilution 1/25. (Original magnification: ×200) |
本公司的所有产品仅用于科学研究或者工业应用等非医疗目的,不可用于人类或动物的临床诊断或治疗,非药用,非食用。
暂无评论
本公司的所有产品仅用于科学研究或者工业应用等非医疗目的,不可用于人类或动物的临床诊断或治疗,非药用,非食用。
中文


发表回复