别名:Interferon-induced transmembrane protein 2, Dispanin subfamily A member 2c, DSPA2c, Interferon-inducible protein 1-8D, IFITM2应用:WB,IHC
反应种属:Human
规格:50μl/100μl
| Specification | |
|---|---|
| Aliases | Interferon-induced transmembrane protein 2, Dispanin subfamily A member 2c, DSPA2c, Interferon-inducible protein 1-8D, IFITM2 |
| Entrez GeneID | 10581 |
| Swissprot | Q01629 |
| WB Predicted band size | 14.6kDa |
| Host/Isotype | Rabbit IgG |
| Storage | Store at 4°C short term. Aliquot and store at -20°C long term. Avoid freeze/thaw cycles. |
| Species Reactivity | Human |
| Immunogen | This IFM2 antibody is generated from rabbits immunized with a KLH conjugated synthetic peptide between 1-30 amino acids from the N-terminal region of human IFM2. |
| Formulation | Purified polyclonal antibody supplied in PBS with 0.05% sodium azide. This antibody is purified through a protein A column, followed by peptide affinity purification. |
| Application | |
|---|---|
| WB | 1/1000 |
| IHC | 1/100-1/500 |
![]() |
Western blot analysis of IFM2 Antibody (N-term) (Cat. #P30563) in NCI-H460 cell line lysates (35ug/lane). IFM2 (arrow) was detected using the purified Pab. |
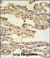
![]() |
IFM2 Antibody (N-term) (Cat. #P30563) IHC analysis in formalin fixed and paraffin embedded lung carcinoma followed by peroxidase conjugation of the secondary antibody and DAB staining. This data demonstrates the use of the IFM2 Antibody (N-term) for immunohistochemistry. Clinical relevance has not been evaluated. |
本公司的所有产品仅用于科学研究或者工业应用等非医疗目的,不可用于人类或动物的临床诊断或治疗,非药用,非食用。
暂无评论
本公司的所有产品仅用于科学研究或者工业应用等非医疗目的,不可用于人类或动物的临床诊断或治疗,非药用,非食用。
中文


发表回复