别名:IFNA; INFA2; IFNA2B; IFN-alphaA应用:WB,IHC
反应种属:Human, Mouse
规格:50μl/100μl
| Description |
|---|
| This gene is a member of the alpha interferon gene cluster on chromosome 9. The encoded protein is a cytokine produced in response to viral infection. Use of the recombinant form of this protein has been shown to be effective in reducing the symptoms and duration of the common cold. |
| Specification | |
|---|---|
| Aliases | IFNA; INFA2; IFNA2B; IFN-alphaA |
| Swissprot | P01563 |
| WB Predicted band size | 22 kDa |
| Host/Isotype | Rabbit IgG |
| Storage | Store at 4°C short term. Aliquot and store at -20°C long term. Avoid freeze/thaw cycles. |
| Species Reactivity | Human, Mouse |
| Immunogen | Synthetic peptide of human IFNA2 |
| Formulation | pH7.4 PBS, 0.05% NaN3, 40% Glycerol |
| Application | |
|---|---|
| WB | 1/200-1/1000 |
| IHC | 1/25-1/100 |
| ELISA | 1/5000-1/10000 |
![]() |
Gel: 12%SDS-PAGE, Lysate: 40 μg, Lane 1-3: Mouse liver tissue, Hela and Raji cell lysates, Primary antibody: P06750(IFNA2 Antibody) at dilution 1/300, Secondary antibody: Goat anti rabbit IgG at 1/8000 dilution, Exposure time: 15 seconds |
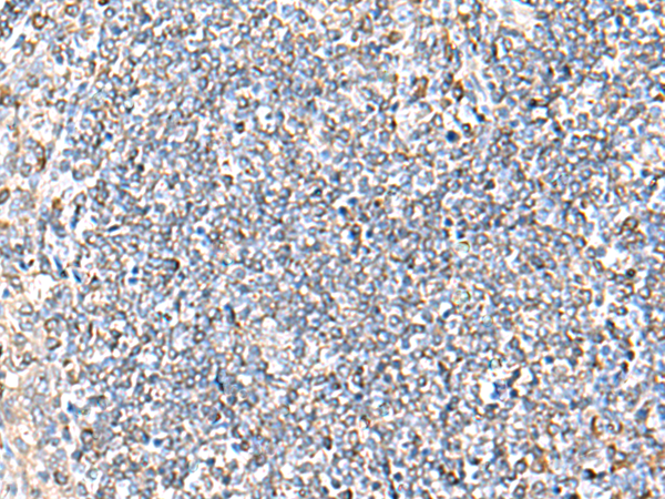
![]() |
The image is immunohistochemistry of paraffin-embedded Human tonsil tissue using P06750(IFNA2 Antibody) at dilution 1/30. (Original magnification: ×200) |
本公司的所有产品仅用于科学研究或者工业应用等非医疗目的,不可用于人类或动物的临床诊断或治疗,非药用,非食用。
暂无评论
本公司的所有产品仅用于科学研究或者工业应用等非医疗目的,不可用于人类或动物的临床诊断或治疗,非药用,非食用。
中文


发表回复