别名:IFB; IFF; IFNB; IFN-beta应用:IHC
反应种属:Human
规格:50μl/100μl
| Description |
|---|
| This gene encodes a cytokine that belongs to the interferon family of signaling proteins, which are released as part of the innate immune response to pathogens. The protein encoded by this gene belongs to the type I class of interferons, which are important for defense against viral infections. In addition, type I interferons are involved in cell differentiation and anti-tumor defenses. Following secretion in response to a pathogen, type I interferons bind a homologous receptor complex and induce transcription of genes such as those encoding inflammatory cytokines and chemokines. Overactivation of type I interferon secretion is linked to autoimmune diseases. Mice deficient for this gene display several phenotypes including defects in B cell maturation and increased susceptibility to viral infection. |
| Specification | |
|---|---|
| Aliases | IFB; IFF; IFNB; IFN-beta |
| Swissprot | P01574 |
| Host/Isotype | Rabbit IgG |
| Storage | Store at 4°C short term. Aliquot and store at -20°C long term. Avoid freeze/thaw cycles. |
| Species Reactivity | Human |
| Immunogen | Synthetic peptide of human IFNB1 |
| Formulation | pH7.4 PBS, 0.05% NaN3, 40% Glycerol |
| Application | |
|---|---|
| IHC | 1/30-1/150 |
| ELISA | 1/5000-1/10000 |
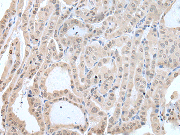
![]() |
The image is immunohistochemistry of paraffin-embedded Human esophagus cancer tissue using P12754(IFNB1 Antibody) at dilution 1/45. (Original magnification: ×200) |
![]() |
The image is immunohistochemistry of paraffin-embedded Human thyroid cancer tissue using P12754(IFNB1 Antibody) at dilution 1/45. (Original magnification: ×200) |
本公司的所有产品仅用于科学研究或者工业应用等非医疗目的,不可用于人类或动物的临床诊断或治疗,非药用,非食用。
暂无评论
本公司的所有产品仅用于科学研究或者工业应用等非医疗目的,不可用于人类或动物的临床诊断或治疗,非药用,非食用。
中文


发表回复