别名:SM15; IFNRP; SKMc15应用:IHC
反应种属:Human
规格:50μl/100μl
| Description |
|---|
| IFRD2 (Interferon-related developmental regulator 2), also known as SKMC15, is a 442 amino acid soluble nuclear protein. IFRD2 is ubiquitously expressed and contains a β-catenin-like repeat, which may indicate an involvement in APC signaling. With 75% homology to IFRD1, IFRD2 may also regulate expression of surface adhesion molecules involved in differentiation and fusion of myogenic satellite cells. Although the gene encoding IFRD2 undergoes overlapping homozygous deletions in many lung cancer cell lines, IFRD2 exhibits no loss-of-function mutations in cancer cells, suggesting a possible role in tumor progression. |
| Specification | |
|---|---|
| Aliases | SM15; IFNRP; SKMc15 |
| Swissprot | Q12894 |
| Host/Isotype | Rabbit IgG |
| Storage | Store at 4°C short term. Aliquot and store at -20°C long term. Avoid freeze/thaw cycles. |
| Species Reactivity | Human |
| Immunogen | Fusion protein of human IFRD2 |
| Formulation | pH7.4 PBS, 0.05% NaN3, 40% Glycerol |
| Application | |
|---|---|
| IHC | 1/30-1/150 |
| ELISA | 1/5000-1/10000 |
![]() |
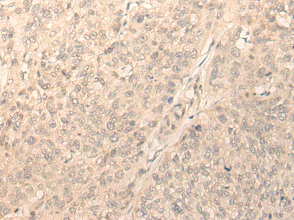
The image is immunohistochemistry of paraffin-embedded Human lung cancer tissue using P02721(IFRD2 Antibody) at dilution 1/20. (Original magnification: ×200) |
![]() |
The image is immunohistochemistry of paraffin-embedded Human cervical cancer tissue using P02721(IFRD2 Antibody) at dilution 1/20. (Original magnification: ×200) |
本公司的所有产品仅用于科学研究或者工业应用等非医疗目的,不可用于人类或动物的临床诊断或治疗,非药用,非食用。
暂无评论
本公司的所有产品仅用于科学研究或者工业应用等非医疗目的,不可用于人类或动物的临床诊断或治疗,非药用,非食用。
中文


发表回复