别名:Intraflagellar transport protein 88 homolog, Recessive polycystic kidney disease protein Tg737 homolog, Tetratricopeptide repeat protein 10, TPR repeat protein 10, IFT88, TG737, TTC10应用:WB,IHC,ICC
反应种属:Human, Mouse
规格:50μl/100μl
| Description |
|---|
| This gene encodes a member of the tetratrico peptide repeat (TPR) family. Mutations of a similar gene in mouse can cause polycystic kidney disease. Two transcript variants encoding distinct isoforms have been identified for this gene. [provided by RefSeq]. |
| Specification | |
|---|---|
| Aliases | Intraflagellar transport protein 88 homolog, Recessive polycystic kidney disease protein Tg737 homolog, Tetratricopeptide repeat protein 10, TPR repeat protein 10, IFT88, TG737, TTC10 |
| Entrez GeneID | 8100 |
| Swissprot | Q13099 |
| WB Predicted band size | 93.2kDa |
| Host/Isotype | Rabbit IgG |
| Storage | Store at 4°C short term. Aliquot and store at -20°C long term. Avoid freeze/thaw cycles. |
| Species Reactivity | Human, Mouse |
| Immunogen | This IFT88 antibody is generated from rabbits immunized with a KLH conjugated synthetic peptide between 791-820 amino acids from the C-terminal region of human IFT88. |
| Formulation | Purified polyclonal antibody supplied in PBS with 0.05% sodium azide. This antibody is purified through a protein A column, followed by peptide affinity purification. |
| Application | |
|---|---|
| WB | 1/1000 |
| IHC | 1/100-1/500 |
| ICC | 1/10-1/50 |
![]() |
IFT88 Antibody (C-term) (Cat. #P30923) western blot analysis in CEM cell line lysates (35ug/lane).This demonstrates the IFT88 antibody detected the IFT88 protein (arrow). |
![]() |
IFT88 Antibody (C-term) (Cat. #P30923) western blot analysis in mouse testis tissue lysates (35ug/lane).This demonstrates the IFT88 antibody detected the IFT88 protein (arrow). |
![]() |
Confocal immunofluorescent analysis of IFT88 Antibody (C-term)(Cat#P30923) with HepG2 cell followed by Alexa Fluor 488-conjugated goat anti-rabbit lgG (green). Actin filaments have been labeled with Alexa Fluor555 phalloidin (red). DAPI was used to stain the cell nuclear (blue). |
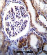
![]() |
IFT88 Antibody (C-term) (Cat. #P30923)immunohistochemistry analysis in formalin fixed and paraffin embedded human kidney tissue followed by peroxidase conjugation of the secondary antibody and DAB staining.This data demonstrates the use of IFT88 Antibody (C-term) for immunohistochemistry. Clinical relevance has not been evaluated. |
本公司的所有产品仅用于科学研究或者工业应用等非医疗目的,不可用于人类或动物的临床诊断或治疗,非药用,非食用。
暂无评论
本公司的所有产品仅用于科学研究或者工业应用等非医疗目的,不可用于人类或动物的临床诊断或治疗,非药用,非食用。
中文




发表回复