别名:IGF1R; Insulin-like growth factor 1 receptor; Insulin-like growth factor I receptor; IGF-I receptor; CD antigen CD221应用:WB,IHC,ICC
反应种属:Human,Mouse,Rat
规格:50μl/100μl
| Description |
|---|
| This receptor binds insulin-like growth factor with a high affinity. It has tyrosine kinase activity. The insulin-like growth factor I receptor plays a critical role in transformation events. Cleavage of the precursor generates alpha and beta subunits. It is highly overexpressed in most malignant tissues where it functions as an anti-apoptotic agent by enhancing cell survival. Alternatively spliced transcript variants encoding distinct isoforms have been found for this gene. [provided by RefSeq, May 2014] |
| Specification | |
|---|---|
| Aliases | IGF1R; Insulin-like growth factor 1 receptor; Insulin-like growth factor I receptor; IGF-I receptor; CD antigen CD221 |
| Entrez GeneID | 3480 |
| Swissprot | P08069 |
| WB Predicted band size | Calculated MW: 155 kDa; Observed MW: 95,200 kDa |
| Host/Isotype | Rabbit IgG |
| Storage | Store at 4°C short term. Aliquot and store at -20°C long term. Avoid freeze/thaw cycles. |
| Species Reactivity | Human,Mouse,Rat |
| Immunogen | Peptide sequence around aa.1159~1163 (D-I-Y-E-T) derived from Human IGF-1R . |
| Formulation | Liquid in PBS containing 50% glycerol, 0.5% BSA and 0.02% sodium azide, pH 7.3. |
| Application | |
|---|---|
| WB | 1/500-1/1000 |
| IHC | 1/50-1/100 |
| ICC | 1/50-1/200 |
![]() |
Western blot analysis of IGF1 Receptor in 293 lysates usingIGF1 Receptor antibody. and the same antibody. preincubated with blocking peptide. |
![]() |
Immunofluorescence analysis of IGF1 Receptor in MCF using IGF1 Receptor antibody. |
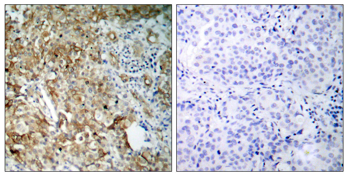
![]() |
Immunohistochemistry analysis of paraffin-embedded Human breast carcinoma tissue using IGF1 Receptor antibody(left) or the same antibody preincubated with blocking peptide (right).High-pressure and temperature Sodium Citrate pH 6.0 was used for antigen retrieval. |
本公司的所有产品仅用于科学研究或者工业应用等非医疗目的,不可用于人类或动物的临床诊断或治疗,非药用,非食用。
暂无评论
本公司的所有产品仅用于科学研究或者工业应用等非医疗目的,不可用于人类或动物的临床诊断或治疗,非药用,非食用。
中文



发表回复