别名:Insulin-like growth factor-binding protein 6, IBP-6, IGF-binding protein 6, IGFBP-6, IGFBP6, IBP6应用:WB,IHC,FCM
反应种属:Human
规格:50μl/100μl
| Description |
|---|
| IGFBP6 (IGF binding protein 6) is a member of the IGFBP family that regulates the actions of IGFs. It acts extracellularly in an autocrine/paracrine manner. IGFBP6 binds preferentially to IGF-II. IGFBP6 has been shown to inhibit the growth of tumour cells and to promote apotosis. |
| Specification | |
|---|---|
| Aliases | Insulin-like growth factor-binding protein 6, IBP-6, IGF-binding protein 6, IGFBP-6, IGFBP6, IBP6 |
| Entrez GeneID | 3489 |
| Swissprot | P24592 |
| WB Predicted band size | 25.3kDa |
| Host/Isotype | Rabbit IgG |
| Storage | Store at 4°C short term. Aliquot and store at -20°C long term. Avoid freeze/thaw cycles. |
| Species Reactivity | Human |
| Immunogen | This IGFBP6 antibody is generated from rabbits immunized with a KLH conjugated synthetic peptide between 176-200 amino acids from the C-terminal region of human IGFBP6. |
| Formulation | Purified polyclonal antibody supplied in PBS with 0.05% sodium azide. This antibody is prepared by Saturated Ammonium Sulfate (SAS) precipitation followed by dialysis against PBS. |
| Application | |
|---|---|
| WB | 1/1000 |
| IHC | 1/100-1/500 |
| FCM | 1/10-1/50 |
![]() |
Western blot analysis of IGFBP6 Antibody (C-term) (Cat. #P30412) in CEM cell line lysates (35ug/lane). IGFBP6 (arrow) was detected using the purified Pab. |
![]() |
Flow cytometric analysis of widr cells using IGFBP6 Antibody (C-term)(bottom histogram) compared to a negative control cell (top histogram)FITC-conjugated goat-anti-rabbit secondary antibodies were used for the analysis. |
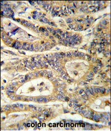
![]() |
Formalin-fixed and paraffin-embedded human colon carcinoma reacted with IGFBP6 Antibody (C-term), which was peroxidase-conjugated to the secondary antibody, followed by DAB staining. This data demonstrates the use of this antibody for immunohistochemistry; clinical relevance has not been evaluated. |
本公司的所有产品仅用于科学研究或者工业应用等非医疗目的,不可用于人类或动物的临床诊断或治疗,非药用,非食用。
暂无评论
本公司的所有产品仅用于科学研究或者工业应用等非医疗目的,不可用于人类或动物的临床诊断或治疗,非药用,非食用。
中文



发表回复