别名:IKBKG; FIP3; NEMO; NF-kappa-B essential modulator; NEMO; FIP-3; IkB kinase-associated protein 1; IKKAP1; Inhibitor of nuclear factor kappa-B kinase subunit gamma; I-kappa-B kinase subunit gamma; IKK-gamma; IKKG; IkB kinase subunit gamma; NF应用:WB,IHC,ICC,FCM,IP
反应种属:Human,Mouse,Rat
规格:50μl/100μl
| Description |
|---|
| The NF-κB/Rel transcription factors are present in the cytosol in an inactive state, complexed with the inhibitory IκB proteins. Most agents that activate NF-κB do so through a common pathway based on phosphorylation-induced, proteasome-mediated degradation of IκB. |
| Specification | |
|---|---|
| Aliases | IKBKG; FIP3; NEMO; NF-kappa-B essential modulator; NEMO; FIP-3; IkB kinase-associated protein 1; IKKAP1; Inhibitor of nuclear factor kappa-B kinase subunit gamma; I-kappa-B kinase subunit gamma; IKK-gamma; IKKG; IkB kinase subunit gamma; NF |
| Entrez GeneID | 8517 |
| Swissprot | Q9Y6K9 |
| WB Predicted band size | Calculated MW: 48 kDa; Observed MW: 48 kDa |
| Host/Isotype | Rabbit IgG |
| Storage | Store at 4°C short term. Aliquot and store at -20°C long term. Avoid freeze/thaw cycles. |
| Species Reactivity | Human,Mouse,Rat |
| Immunogen | A synthesized peptide derived from human IKK gamma |
| Formulation | Rabbit IgG in phosphate buffered saline , pH 7.4, 150mM NaCl, 0.02% sodium azide and 50% glycerol. |
| Application | |
|---|---|
| IP | 1/20 |
| WB | 1/500-1/1000 |
| IHC | 1/50-1/100 |
| ICC | 1/50-1/200 |
| FCM | 1/50-1/100 |
![]() |
Western blot analysis of IKK gamma in Jurkat lysates using IKK gamma antibody. |
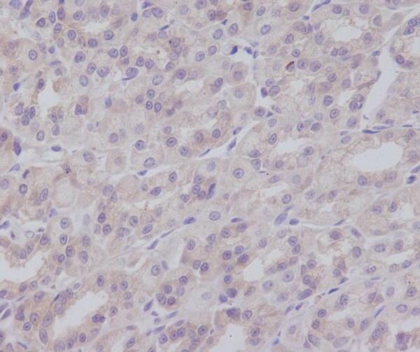
![]() |
Immunohistochemistry analysis of paraffin-embedded mouse colon using IKK gamma antibody.High-pressure and temperature Sodium Citrate pH 6.0 was used for antigen retrieval. |
本公司的所有产品仅用于科学研究或者工业应用等非医疗目的,不可用于人类或动物的临床诊断或治疗,非药用,非食用。
暂无评论
本公司的所有产品仅用于科学研究或者工业应用等非医疗目的,不可用于人类或动物的临床诊断或治疗,非药用,非食用。
中文


发表回复