别名:IL1B; IL1F2; Interleukin-1 beta; IL-1 beta; Catabolin应用:WB,IHC,ICC
反应种属:Human,Mouse,Rat
规格:50μl/100μl
| Description |
|---|
| Produced by activated macrophages, IL-1 stimulates thymocyte proliferation by inducing IL-2 release, B-cell maturation and proliferation, and fibroblast growth factor activity. IL-1 proteins are involved in the inflammatory response, being identified as endogenous pyrogens, and are reported to stimulate the release of prostaglandin and collagenase from synovial cells. |
| Specification | |
|---|---|
| Aliases | IL1B; IL1F2; Interleukin-1 beta; IL-1 beta; Catabolin |
| Entrez GeneID | 3553 |
| Swissprot | P01584 |
| WB Predicted band size | Calculated MW: 31 kDa; Observed MW: 17,31 kDa |
| Host/Isotype | Rabbit IgG |
| Storage | Store at 4°C short term. Aliquot and store at -20°C long term. Avoid freeze/thaw cycles. |
| Species Reactivity | Human,Mouse,Rat |
| Immunogen | A synthetic peptide of human IL1B.Email for sequence |
| Formulation | Liquid in PBS containing 50% glycerol, 0.5% BSA and 0.02% sodium azide, pH 7.3. |
| Application | |
|---|---|
| WB | 1/500-1/1000 |
| IHC | 1/50-1/100 |
| ICC | 1/50-1/200 |
![]() |
Western blot analysis of IL-1 beta in various cell lines lysates using IL-1B antibody. |
![]() |
Western blot analysis of IL-1 beta in THP-1 lysates using IL-1B antibody. |
![]() |
Immunofluorescence analysis of IL-1 beta in THP-1 cells using IL-1B antibody,and DAPI (blue). |
![]() |
Immunofluorescence analysis of IL-1 beta in mouse lung using IL-1B antibody,and DAPI (blue). |
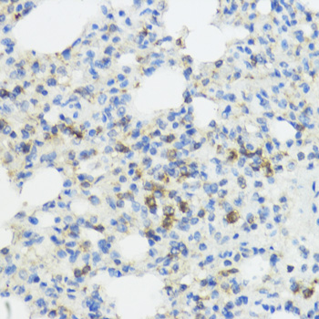
![]() |
Immunohistochemistry analysis of paraffin-embedded rat lung using IL-1B antibody. High-pressure and temperature Sodium Citrate pH 6.0 was used for antigen retrieval. |
本公司的所有产品仅用于科学研究或者工业应用等非医疗目的,不可用于人类或动物的临床诊断或治疗,非药用,非食用。
暂无评论
本公司的所有产品仅用于科学研究或者工业应用等非医疗目的,不可用于人类或动物的临床诊断或治疗,非药用,非食用。
中文





发表回复