别名:CD212; IL12RB; IL-12R-BETA1应用:IHC
反应种属:Human
规格:50μl/100μl
| Description |
|---|
| The protein encoded by this gene is a type I transmembrane protein that belongs to the hemopoietin receptor superfamily. This protein binds to interleukine 12 (IL12) with a low affinity, and is thought to be a part of IL12 receptor complex. This protein forms a disulfide-linked oligomer, which is required for its IL12 binding activity. The coexpression of this and IL12RB2 proteins was shown to lead to the formation of high-affinity IL12 binding sites and reconstitution of IL12 dependent signaling. The lack of expression of this gene was found to result in the immunodeficiency of patients with severe mycobacterial and Salmonella infections. Two alternatively spliced transcript variants of this gene encoding distinct isoforms have been reported. |
| Specification | |
|---|---|
| Aliases | CD212; IL12RB; IL-12R-BETA1 |
| Swissprot | P42701 |
| Host/Isotype | Rabbit IgG |
| Storage | Store at 4°C short term. Aliquot and store at -20°C long term. Avoid freeze/thaw cycles. |
| Species Reactivity | Human |
| Immunogen | Fusion protein of human IL12RB1 |
| Formulation | pH7.4 PBS, 0.05% NaN3, 40% Glycerol |
| Application | |
|---|---|
| IHC | 1/15-1/50 |
| ELISA | 1/1000-1/2000 |
![]() |
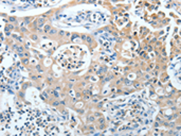
The image is immunohistochemistry of paraffin-embedded Human esophagus cancer tissue using P07046(IL12RB1 Antibody) at dilution 1/20. (Original magnification: ×200) |
![]() |
The image is immunohistochemistry of paraffin-embedded Human lung cancer tissue using P07046(IL12RB1 Antibody) at dilution 1/20. (Original magnification: ×200) |
本公司的所有产品仅用于科学研究或者工业应用等非医疗目的,不可用于人类或动物的临床诊断或治疗,非药用,非食用。
暂无评论
本公司的所有产品仅用于科学研究或者工业应用等非医疗目的,不可用于人类或动物的临床诊断或治疗,非药用,非食用。
中文


发表回复