别名:CD215应用:WB,IHC
反应种属:Human, Mouse, Rat
规格:50μl/100μl
| Description |
|---|
| This gene encodes a cytokine receptor that specifically binds interleukin 15 (IL15) with high affinity. The receptors of IL15 and IL2 share two subunits, IL2R beta and IL2R gamma. This forms the basis of many overlapping biological activities of IL15 and IL2. The protein encoded by this gene is structurally related to IL2R alpha, an additional IL2-specific alpha subunit necessary for high affinity IL2 binding. Unlike IL2RA, IL15RA is capable of binding IL15 with high affinity independent of other subunits, which suggests distinct roles between IL15 and IL2. This receptor is reported to enhance cell proliferation and expression of apoptosis inhibitor BCL2L1/BCL2-XL and BCL2. Multiple alternatively spliced transcript variants of this gene have been reported. |
| Specification | |
|---|---|
| Aliases | CD215 |
| Swissprot | Q13261 |
| WB Predicted band size | 28 kDa |
| Host/Isotype | Rabbit IgG |
| Storage | Store at 4°C short term. Aliquot and store at -20°C long term. Avoid freeze/thaw cycles. |
| Species Reactivity | Human, Mouse, Rat |
| Immunogen | Synthetic peptide of human IL15RA |
| Formulation | pH7.4 PBS, 0.05% NaN3, 40% Glycerol |
| Application | |
|---|---|
| WB | 1/200-1/1000 |
| IHC | 1/50-1/200 |
| ELISA | 1/5000-1/10000 |
![]() |
Gel: 8%SDS-PAGE, Lysate: 40 μg, Lane 1-2: Rat liver tissue, Mouse fat tissue lysates, Primary antibody: P04044(IL15RA Antibody) at dilution 1/200, Secondary antibody: Goat anti rabbit IgG at 1/5000 dilution, Exposure time: 30 seconds |
![]() |
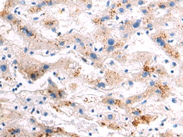
The image is immunohistochemistry of paraffin-embedded Human liver cancer tissue using P04044(IL15RA Antibody) at dilution 1/50. (Original magnification: ×200) |
![]() |
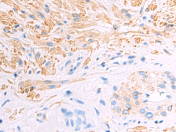
The image is immunohistochemistry of paraffin-embedded Human prostate cancer tissue using P04044(IL15RA Antibody) at dilution 1/50. (Original magnification: ×200) |
本公司的所有产品仅用于科学研究或者工业应用等非医疗目的,不可用于人类或动物的临床诊断或治疗,非药用,非食用。
暂无评论
本公司的所有产品仅用于科学研究或者工业应用等非医疗目的,不可用于人类或动物的临床诊断或治疗,非药用,非食用。
中文



发表回复