别名:ACPL; CD218b; IL-1R7; IL18RB; CDw218b; IL-1R-7; IL-18RAcP; IL-1RAcPL; IL-18Rbeta; IL-18R-beta应用:IHC
反应种属:Human
规格:50μl/100μl
| Description |
|---|
| The protein encoded by this gene is an accessory subunit of the heterodimeric receptor for interleukin 18 (IL18), a proinflammatory cytokine involved in inducing cell-mediated immunity. This protein enhances the IL18-binding activity of the IL18 receptor and plays a role in signaling by IL18. Mutations in this gene are associated with Crohn’s disease and inflammatory bowel disease, and susceptibility to celiac disease and leprosy. Alternatively spliced transcript variants of this gene have been described, but their full-length nature is not known. |
| Specification | |
|---|---|
| Aliases | ACPL; CD218b; IL-1R7; IL18RB; CDw218b; IL-1R-7; IL-18RAcP; IL-1RAcPL; IL-18Rbeta; IL-18R-beta |
| Swissprot | O95256 |
| Host/Isotype | Rabbit IgG |
| Storage | Store at 4°C short term. Aliquot and store at -20°C long term. Avoid freeze/thaw cycles. |
| Species Reactivity | Human |
| Immunogen | Synthetic peptide of human IL18RAP |
| Formulation | pH7.4 PBS, 0.05% NaN3, 40% Glycerol |
| Application | |
|---|---|
| IHC | 1/50-1/200 |
| ELISA | 1/5000-1/10000 |
![]() |
The image is immunohistochemistry of paraffin-embedded Human colorectal cancer tissue using P12509(IL18RAP Antibody) at dilution 1/50. (Original magnification: ×200) |
![]() |
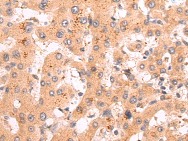
The image is immunohistochemistry of paraffin-embedded Human liver cancer tissue using P12509(IL18RAP Antibody) at dilution 1/50. (Original magnification: ×200) |
本公司的所有产品仅用于科学研究或者工业应用等非医疗目的,不可用于人类或动物的临床诊断或治疗,非药用,非食用。
暂无评论
本公司的所有产品仅用于科学研究或者工业应用等非医疗目的,不可用于人类或动物的临床诊断或治疗,非药用,非食用。
中文


发表回复