别名:MDA1; NG.1; ZMDA1; IL-10C应用:WB,IHC
反应种属:Human, Mouse, Rat
规格:50μl/100μl
| Description |
|---|
| The protein encoded by this gene is a cytokine that belongs to the IL10 cytokine subfamily. This cytokine is found to be preferentially expressed in monocytes. It can bind the IL20 receptor complex and lead to the activation of the signal transducer and activator of transcription 3 (STAT3). A similar cytokine in mouse is reported to up-regulate the expression of IL6 and TNF-alpha and induce apoptosis, which suggests a role of this cytokine in inflammatory responses. Alternatively spliced transcript variants encoding the distinct isoforms have been described. |
| Specification | |
|---|---|
| Aliases | MDA1; NG.1; ZMDA1; IL-10C |
| Swissprot | Q9UHD0 |
| WB Predicted band size | 20 kDa |
| Host/Isotype | Rabbit IgG |
| Storage | Store at 4°C short term. Aliquot and store at -20°C long term. Avoid freeze/thaw cycles. |
| Species Reactivity | Human, Mouse, Rat |
| Immunogen | Synthetic peptide of human IL19 |
| Formulation | pH7.4 PBS, 0.05% NaN3, 40% Glycerol |
| Application | |
|---|---|
| WB | 1/1000-1/5000 |
| IHC | 1/50-1/200 |
| ELISA | 1/5000-1/10000 |
![]() |
Gel: 12%SDS-PAGE, Lysate: 40 μg, Lane 1-2: Mouse liver tissue and Rat liver tissue lysates, Primary antibody: P04962(IL19 Antibody) at dilution 1/1000, Secondary antibody: Goat anti rabbit IgG at 1/5000 dilution, Exposure time: 1 minute |
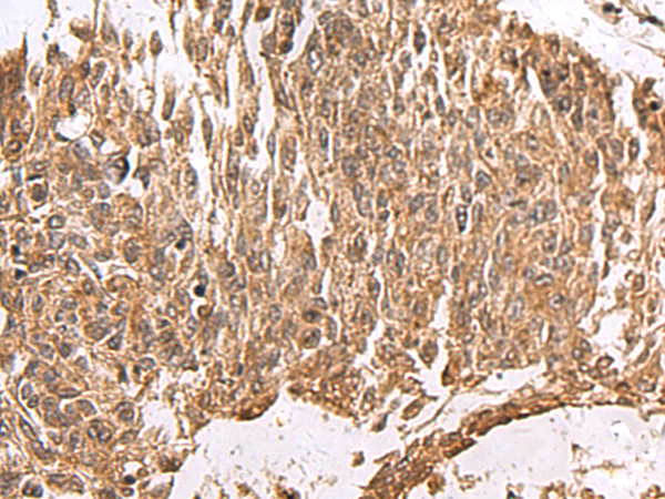
![]() |
The image is immunohistochemistry of paraffin-embedded Human colorectal cancer tissue using P04962(IL19 Antibody) at dilution 1/45. (Original magnification: ×200) |
本公司的所有产品仅用于科学研究或者工业应用等非医疗目的,不可用于人类或动物的临床诊断或治疗,非药用,非食用。
暂无评论
本公司的所有产品仅用于科学研究或者工业应用等非医疗目的,不可用于人类或动物的临床诊断或治疗,非药用,非食用。
中文


发表回复