别名:IL1R3; C3orf13; IL-1RAcP应用:WB,IHC
反应种属:Human, Mouse, Rat
规格:50μl/100μl
| Description |
|---|
| This gene encodes a component of the interleukin 1 receptor complex, which initiates signalling events that result in the activation of interleukin 1-responsive genes. Alternative splicing of this gene results in membrane-bound and soluble isoforms differing in their C-terminus. The ratio of soluble to membrane-bound forms increases during acute-phase induction or stress. |
| Specification | |
|---|---|
| Aliases | IL1R3; C3orf13; IL-1RAcP |
| Swissprot | Q9NPH3 |
| WB Predicted band size | 65 kDa |
| Host/Isotype | Rabbit IgG |
| Storage | Store at 4°C short term. Aliquot and store at -20°C long term. Avoid freeze/thaw cycles. |
| Species Reactivity | Human, Mouse, Rat |
| Immunogen | Fusion protein of human IL1RAP |
| Formulation | pH7.4 PBS, 0.05% NaN3, 40% Glycerol |
| Application | |
|---|---|
| WB | 1/500-1/2000 |
| IHC | 1/50-1/200 |
| ELISA | 1/5000-1/10000 |
![]() |
Gel: 8%SDS-PAGE, Lysate: 40 μg, Lane 1-4: Hela cell, Mouse heart tissue, Human cerebella tissue, Human cerebrum tissue lysates, Primary antibody: P07053(IL1RAP Antibody) at dilution 1/600, Secondary antibody: Goat anti rabbit IgG at 1/5000 dilution, Exposure time: 30 seconds |
![]() |
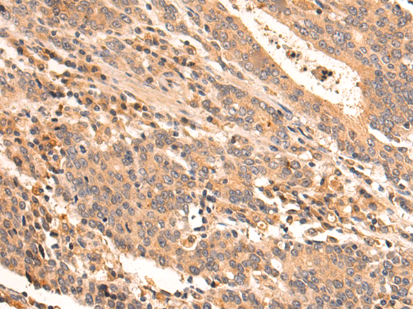
The image is immunohistochemistry of paraffin-embedded Human gastric cancer tissue using P07053(IL1RAP Antibody) at dilution 1/40. (Original magnification: ×200) |
![]() |
The image is immunohistochemistry of paraffin-embedded Human colorectal cancer tissue using P07053(IL1RAP Antibody) at dilution 1/40. (Original magnification: ×200) |
本公司的所有产品仅用于科学研究或者工业应用等非医疗目的,不可用于人类或动物的临床诊断或治疗,非药用,非食用。
暂无评论
本公司的所有产品仅用于科学研究或者工业应用等非医疗目的,不可用于人类或动物的临床诊断或治疗,非药用,非食用。
中文



发表回复