别名:DIRS1; FNDC6; IL-20R2应用:IHC
反应种属:Human
规格:50μl/100μl
| Description |
|---|
| IL20RB and IL20RA (MIM 605620) form a heterodimeric receptor for interleukin-20 (IL20; MIM 605619) (Blumberg et al., 2001 [PubMed 11163236]). |
| Specification | |
|---|---|
| Aliases | DIRS1; FNDC6; IL-20R2 |
| Swissprot | Q6UXL0 |
| Host/Isotype | Rabbit IgG |
| Storage | Store at 4°C short term. Aliquot and store at -20°C long term. Avoid freeze/thaw cycles. |
| Species Reactivity | Human |
| Immunogen | Synthetic peptide of human IL20RB |
| Formulation | pH7.4 PBS, 0.05% NaN3, 40% Glycerol |
| Application | |
|---|---|
| IHC | 1/20-1/100 |
| ELISA | 1/5000-1/10000 |
![]() |
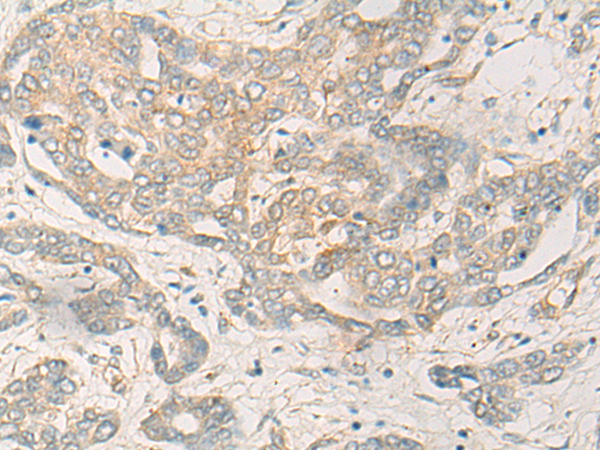
The image is immunohistochemistry of paraffin-embedded Human prostate cancer tissue using P06368(IL20RB Antibody) at dilution 1/30. (Original magnification: ×200) |
![]() |
The image is immunohistochemistry of paraffin-embedded Human liver cancer tissue using P06368(IL20RB Antibody) at dilution 1/30. (Original magnification: ×200) |
本公司的所有产品仅用于科学研究或者工业应用等非医疗目的,不可用于人类或动物的临床诊断或治疗,非药用,非食用。
暂无评论
本公司的所有产品仅用于科学研究或者工业应用等非医疗目的,不可用于人类或动物的临床诊断或治疗,非药用,非食用。
中文


发表回复