别名:C49A; FISP; MDA7; MOB5; ST16; IL10B应用:IHC
反应种属:Human
规格:50μl/100μl
| Description |
|---|
| This gene encodes a member of the IL10 family of cytokines. It was identified as a gene induced during terminal differentiation in melanoma cells. The protein encoded by this gene can induce apoptosis selectively in various cancer cells. Overexpression of this gene leads to elevated expression of several GADD family genes, which correlates with the induction of apoptosis. The phosphorylation of mitogen-activated protein kinase 14 (MAPK7/P38), and heat shock 27kDa protein 1 (HSPB2/HSP27) are found to be induced by this gene in melanoma cells, but not in normal immortal melanocytes. Alternatively spliced transcript variants encoding distinct isoforms have been reported. |
| Specification | |
|---|---|
| Aliases | C49A; FISP; MDA7; MOB5; ST16; IL10B |
| Swissprot | Q13007 |
| Host/Isotype | Rabbit IgG |
| Storage | Store at 4°C short term. Aliquot and store at -20°C long term. Avoid freeze/thaw cycles. |
| Species Reactivity | Human |
| Immunogen | Synthetic peptide of human IL24 |
| Formulation | pH7.4 PBS, 0.05% NaN3, 40% Glycerol |
| Application | |
|---|---|
| IHC | 1/25-1/100 |
| ELISA | 1/5000-1/10000 |
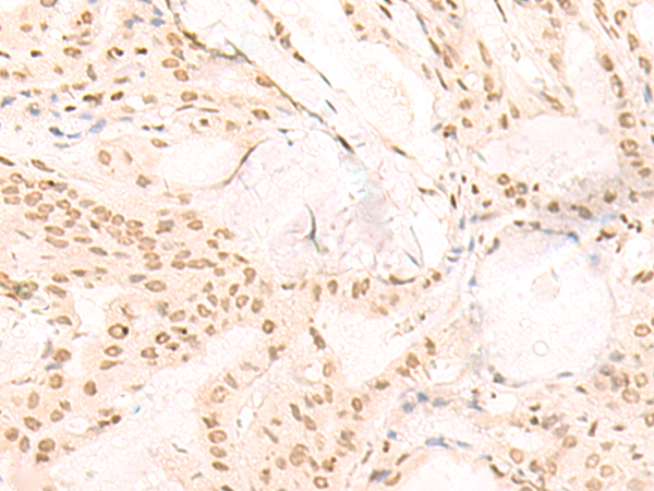
![]() |
The image is immunohistochemistry of paraffin-embedded Human esophagus cancer tissue using P13332(IL24 Antibody) at dilution 1/20. (Original magnification: ×200) |
![]() |
The image is immunohistochemistry of paraffin-embedded Human thyroid cancer tissue using P13332(IL24 Antibody) at dilution 1/20. (Original magnification: ×200) |
本公司的所有产品仅用于科学研究或者工业应用等非医疗目的,不可用于人类或动物的临床诊断或治疗,非药用,非食用。
暂无评论
本公司的所有产品仅用于科学研究或者工业应用等非医疗目的,不可用于人类或动物的临床诊断或治疗,非药用,非食用。
中文


发表回复