别名:IL-31应用:WB,IHC
反应种属:Human
规格:50μl/100μl
| Description |
|---|
| IL31, which is made principally by activated Th2-type T cells, interacts with a heterodimeric receptor consisting of IL31RA (MIM 609510) and OSMR (MIM 601743) that is constitutively expressed on epithelial cells and keratinocytes. IL31 may be involved in the promotion of allergic skin disorders and in regulating other allergic diseases, such as asthma. |
| Specification | |
|---|---|
| Aliases | IL-31 |
| Swissprot | Q6EBC2 |
| WB Predicted band size | 18 kDa |
| Host/Isotype | Rabbit IgG |
| Storage | Store at 4°C short term. Aliquot and store at -20°C long term. Avoid freeze/thaw cycles. |
| Species Reactivity | Human |
| Immunogen | Synthetic peptide of human IL31 |
| Formulation | pH7.4 PBS, 0.05% NaN3, 40% Glycerol |
| Application | |
|---|---|
| WB | 1/200-1/1000 |
| IHC | 1/25-1/100 |
| ELISA | 1/1000-1/2000 |
![]() |
Gel: 12%SDS-PAGE, Lysate: 40 μg, Lane: Human placenta tissue, Primary antibody: P11850(IL31 Antibody) at dilution 1/200, Secondary antibody: Goat anti rabbit IgG at 1/8000 dilution, Exposure time: 1 minute |
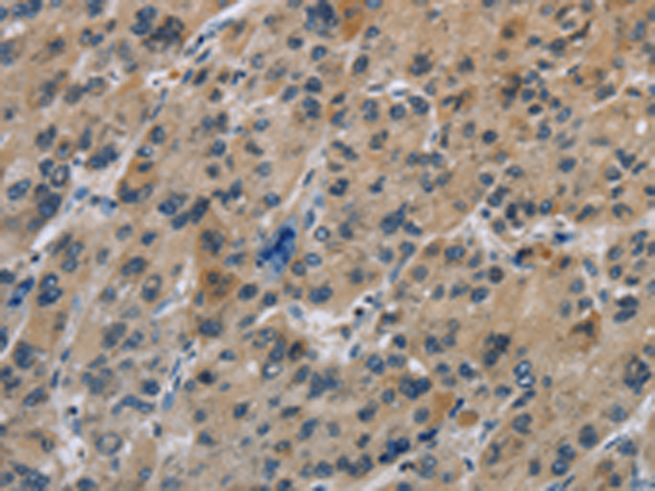
![]() |
The image is immunohistochemistry of paraffin-embedded Human liver cancer tissue using P11850(IL31 Antibody) at dilution 1/20. (Original magnification: ×200) |
![]() |
The image is immunohistochemistry of paraffin-embedded Human thyroid cancer tissue using P11850(IL31 Antibody) at dilution 1/20. (Original magnification: ×200) |
本公司的所有产品仅用于科学研究或者工业应用等非医疗目的,不可用于人类或动物的临床诊断或治疗,非药用,非食用。
暂无评论
本公司的所有产品仅用于科学研究或者工业应用等非医疗目的,不可用于人类或动物的临床诊断或治疗,非药用,非食用。
中文



发表回复