别名:FIL1; FIL1E; IL1F6; IL-1F6; IL1(EPSILON); FIL1(EPSILON)应用:WB,IHC
反应种属:Human, Mouse
规格:50μl/100μl
| Description |
|---|
| The protein encoded by this gene is a cytokine that can activate NF-kappa-B and MAPK signaling pathways to generate an inflammatory response. The encoded protein functions primarily in skin and demonstrates increased expression in psoriasis. In addition, decreased expression of this gene has been linked to a poor prognosis in both hepatocellular carcinoma and colorectal cancer patients. |
| Specification | |
|---|---|
| Aliases | FIL1; FIL1E; IL1F6; IL-1F6; IL1(EPSILON); FIL1(EPSILON) |
| Swissprot | Q9UHA7 |
| WB Predicted band size | 18 kDa |
| Host/Isotype | Rabbit IgG |
| Storage | Store at 4°C short term. Aliquot and store at -20°C long term. Avoid freeze/thaw cycles. |
| Species Reactivity | Human, Mouse |
| Immunogen | Synthetic peptide of human IL36A |
| Formulation | pH7.4 PBS, 0.05% NaN3, 40% Glycerol |
| Application | |
|---|---|
| WB | 1/500-1/2000 |
| IHC | 1/30-1/150 |
| ELISA | 1/5000-1/10000 |
![]() |
Gel: 12%SDS-PAGE, Lysate: 40 μg, Lane 1-2: Mouse liver tissue and Human tonsil tissue lysates, Primary antibody: P06736(IL36A Antibody) at dilution 1/300, Secondary antibody: Goat anti rabbit IgG at 1/8000 dilution, Exposure time: 15 seconds |
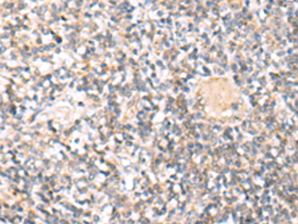
![]() |
The image is immunohistochemistry of paraffin-embedded Human tonsil tissue using P06736(IL36A Antibody) at dilution 1/30. (Original magnification: ×200) |
本公司的所有产品仅用于科学研究或者工业应用等非医疗目的,不可用于人类或动物的临床诊断或治疗,非药用,非食用。
暂无评论
本公司的所有产品仅用于科学研究或者工业应用等非医疗目的,不可用于人类或动物的临床诊断或治疗,非药用,非食用。
中文


发表回复