别名:CBTF; DRBF; MMP4; MPP4; NF90; NFAR; NF110; NF90a; NF90b; NFAR2; TCP80; DRBP76; NF110b; NFAR-1; TCP110; MPHOSPH4; NF-AT-90应用:IHC
反应种属:Human, Mouse, Rat
规格:50μl/100μl
| Description |
|---|
| This gene encodes a double-stranded RNA (dsRNA) binding protein that complexes with other proteins, dsRNAs, small noncoding RNAs, and mRNAs to regulate gene expression and stabilize mRNAs. This protein (NF90, ILF3) forms a heterodimer with a 45 kDa transcription factor (NF45, ILF2) required for T-cell expression of interleukin 2. This complex has been shown to affect the redistribution of nuclear mRNA to the cytoplasm. Knockdown of NF45 or NF90 protein retards cell growth, possibly by inhibition of mRNA stabilization. In contrast, an isoform (NF110) of this gene that is predominantly restricted to the nucleus has only minor effects on cell growth when its levels are reduced. Alternative splicing results in multiple transcript variants encoding distinct isoforms. |
| Specification | |
|---|---|
| Aliases | CBTF; DRBF; MMP4; MPP4; NF90; NFAR; NF110; NF90a; NF90b; NFAR2; TCP80; DRBP76; NF110b; NFAR-1; TCP110; MPHOSPH4; NF-AT-90 |
| Swissprot | Q12906 |
| Host/Isotype | Rabbit IgG |
| Storage | Store at 4°C short term. Aliquot and store at -20°C long term. Avoid freeze/thaw cycles. |
| Species Reactivity | Human, Mouse, Rat |
| Immunogen | Fusion protein of human ILF3 |
| Formulation | pH7.4 PBS, 0.05% NaN3, 40% Glycerol |
| Application | |
|---|---|
| IHC | 1/50-1/300 |
| ELISA | 1/5000-1/10000 |
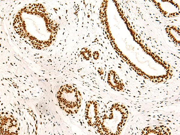
![]() |
The image is immunohistochemistry of paraffin-embedded Human esophagus cancer tissue using P03009(ILF3 Antibody) at dilution 1/40. (Original magnification: ×200) |
![]() |
The image is immunohistochemistry of paraffin-embedded Human breast cancer tissue using P03009(ILF3 Antibody) at dilution 1/40. (Original magnification: ×200) |
本公司的所有产品仅用于科学研究或者工业应用等非医疗目的,不可用于人类或动物的临床诊断或治疗,非药用,非食用。
暂无评论
本公司的所有产品仅用于科学研究或者工业应用等非医疗目的,不可用于人类或动物的临床诊断或治疗,非药用,非食用。
中文


发表回复