别名:Integrin-linked protein kinase, Ilk应用:WB,IHC
反应种属:Human, Mouse, Rat
规格:50μl/100μl
| Description |
|---|
| Transduction of extracellular matrix signals through integrins influences intracellular and extracellular functions, and appears to require interaction of integrin cytoplasmic domains with cellular proteins. Integrin-linked kinase (ILK), interacts with the cytoplasmic domain of beta-1 integrin. ILK encodes a predicted 451-amino acid protein, with an apparent molecular weight of 59 kD. The ILK protein is a serine/threonine protein kinase with 4 ankyrin-like repeats. ILK regulates integrin-mediated signal transduction. |
| Specification | |
|---|---|
| Aliases | Integrin-linked protein kinase, Ilk |
| Entrez GeneID | 16202 |
| Swissprot | O55222 |
| WB Predicted band size | 51.4kDa |
| Host/Isotype | Rabbit IgG |
| Storage | Store at 4°C short term. Aliquot and store at -20°C long term. Avoid freeze/thaw cycles. |
| Species Reactivity | Human, Mouse, Rat |
| Immunogen | This ILK1/ILK2 antibody is generated from rabbits immunized with a KLH conjugated synthetic peptide between 11-41 amino acids from the N-terminal region of mouse ILK1/ILK2. |
| Formulation | Purified polyclonal antibody supplied in PBS with 0.05% sodium azide. This antibody is prepared by Saturated Ammonium Sulfate (SAS) precipitation followed by dialysis against PBS. |
| Application | |
|---|---|
| WB | 1/1000 |
| IHC | 1/100-1/500 |
![]() |
Western blot analysis of anti-ILK1 Pab (Cat. #P30022) in HL60 cell lysate. ILK1 (Arrow) was detected using purified Pab. Secondary HRP-anti-rabbit was used for signal visualization with chemiluminescence. |
![]() |
Formalin-fixed and paraffin-embedded human cancer tissue reacted with the primary antibody, which was peroxidase-conjugated to the secondary antibody, followed by AEC staining. This data demonstrates the use of this antibody for immunohistochemistry; clinical relevance has not been evaluated. BC = breast carcinoma; HC = hepatocarcinoma. |
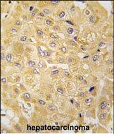
![]() |
Formalin-fixed and paraffin-embedded human hepatocarcinoma tissue reacted with ILK1/ILK2 Antibody (N-term) (Cat.#P30022), which was peroxidase-conjugated to the secondary antibody, followed by DAB staining. This data demonstrates the use of this antibody for immunohistochemistry; clinical relevance has not been evaluated. |
本公司的所有产品仅用于科学研究或者工业应用等非医疗目的,不可用于人类或动物的临床诊断或治疗,非药用,非食用。
暂无评论
本公司的所有产品仅用于科学研究或者工业应用等非医疗目的,不可用于人类或动物的临床诊断或治疗,非药用,非食用。
中文



发表回复