别名:INHBE; Inhibin beta E chain; Activin beta-E chain应用:WB,IHC
反应种属:Human,Mouse,Rat
规格:50μl/100μl
| Description |
|---|
| Inhibins and activins inhibit and activate, respectively, the secretion of follitropin by the pituitary gland. |
| Specification | |
|---|---|
| Aliases | INHBE; Inhibin beta E chain; Activin beta-E chain |
| Entrez GeneID | 83729 |
| Swissprot | P58166 |
| WB Predicted band size | Calculated MW: 39 kDa; Observed MW: 39 kDa |
| Host/Isotype | Rabbit IgG |
| Storage | Store at 4°C short term. Aliquot and store at -20°C long term. Avoid freeze/thaw cycles. |
| Species Reactivity | Human,Mouse,Rat |
| Immunogen | The antiserum was produced against synthesized peptide derived from the C-terminal region of human INHBE. AA range:301-350 |
| Formulation | Liquid in PBS containing 50% glycerol, 0.5% BSA and 0.02% sodium azide, pH 7.3. |
| Application | |
|---|---|
| WB | 1/500-1/1000 |
| IHC | 1/50-1/100 |
| ELISA | 1/10000 |
![]() |
Western blot analysis of Inhibin beta E in L929 lysates using Inhibin beta E antibody. |
![]() |
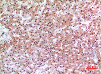
Immunohistochemistry analysis of paraffin-embedded Human liver using Inhibin beta E antibody.High-pressure and temperature Sodium Citrate pH 6.0 was used for antigen retrieval. |
![]() |
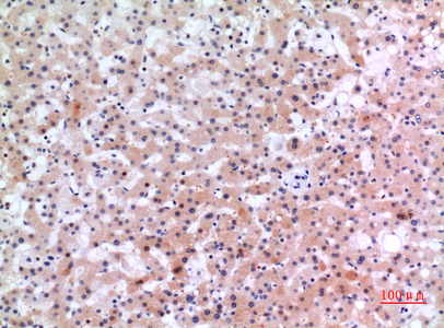
Immunohistochemistry analysis of paraffin-embedded Human liver using Inhibin beta E antibody. High-pressure and temperature Sodium Citrate pH 6.0 was used for antigen retrieval. |
![]() |
Immunohistochemistry analysis of paraffin-embedded mouse muscle using Inhibin beta E antibody.High-pressure and temperature Sodium Citrate pH 6.0 was used for antigen retrieval. |
![]() |
Immunohistochemistry analysis of paraffin-embedded mouse muscle using Inhibin beta E antibody.High-pressure and temperature Sodium Citrate pH 6.0 was used for antigen retrieval. |
本公司的所有产品仅用于科学研究或者工业应用等非医疗目的,不可用于人类或动物的临床诊断或治疗,非药用,非食用。
暂无评论
本公司的所有产品仅用于科学研究或者工业应用等非医疗目的,不可用于人类或动物的临床诊断或治疗,非药用,非食用。
中文





发表回复