别名:NOS2; NOS2A; Nitric oxide synthase; inducible; Hepatocyte NOS; HEP-NOS; Inducible NO synthase; Inducible NOS; iNOS; NOS type II; Peptidyl-cysteine S-nitrosylase NOS2应用:WB,IHC,ICC
反应种属:Human,Mouse,Rat
规格:50μl/100μl
| Description |
|---|
| iNOS Produces nitric oxide (NO) which is a messenger molecule with diverse functions throughout the body. In macrophages, NO mediates tumoricidal and bactericidal actions. |
| Specification | |
|---|---|
| Aliases | NOS2; NOS2A; Nitric oxide synthase; inducible; Hepatocyte NOS; HEP-NOS; Inducible NO synthase; Inducible NOS; iNOS; NOS type II; Peptidyl-cysteine S-nitrosylase NOS2 |
| Entrez GeneID | 4843 |
| Swissprot | P35228 |
| WB Predicted band size | Calculated MW: 131 kDa; Observed MW: 131 kDa |
| Host/Isotype | Rabbit IgG |
| Storage | Store at 4°C short term. Aliquot and store at -20°C long term. Avoid freeze/thaw cycles. |
| Species Reactivity | Human,Mouse,Rat |
| Immunogen | The antiserum was produced against synthesized peptide derived from human iNOS. AA range:117-166 |
| Formulation | Liquid in PBS containing 50% glycerol, 0.5% BSA and 0.02% sodium azide, pH 7.3. |
| Application | |
|---|---|
| WB | 1/500-1/1000 |
| IHC | 1/50-1/100 |
| ICC | 1/50-1/200 |
| ELISA | 1/10000 |
![]() |
Western blot analysis of iNOS in 3T3 lysates using iNOS antibody. |
![]() |
Western blot analysis of iNOS in SH-SY5Y lysates using iNOS antibody. |
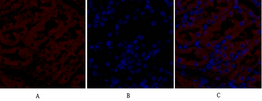
![]() |
Immunofluorescence analysis of iNOS in iNOS in rat kidney using iNOS antibody(red). |
![]() |
Immunohistochemistry analysis of paraffin-embedded Human uterus cancer using iNOS antibody. High-pressure and temperature Sodium Citrate pH 6.0 was used for antigen retrieval.Negative control was used by secondary antibody only. |
本公司的所有产品仅用于科学研究或者工业应用等非医疗目的,不可用于人类或动物的临床诊断或治疗,非药用,非食用。
暂无评论
本公司的所有产品仅用于科学研究或者工业应用等非医疗目的,不可用于人类或动物的临床诊断或治疗,非药用,非食用。
中文




发表回复