别名:Imp9应用:WB,IHC
反应种属:Human, Mouse
规格:50μl/100μl
| Description |
|---|
| Importin-9, also known as Imp9 or IPO9, is a 1,041 amino acid protein that contains one importin N-terminal domain and belongs to the Importin-∫ family. Localized to both the nucleus and the cytoplasm, Importin-9 functions as a nuclear transport receptor that mediates the docking of the Importin complex to the nuclear pore complex (NPC). Importin-9 mediates nuclear import of H2B histone, Ribosomal Protein S7 and Ribosomal Protein L18A. The gene encoding Importin-9 is located on human chromosome 1, the largest human chromosome that spans about 260 million base pairs and makes up 8% of the human genome. |
| Specification | |
|---|---|
| Aliases | Imp9 |
| Swissprot | Q96P70 |
| WB Predicted band size | 116 kDa |
| Host/Isotype | Rabbit IgG |
| Storage | Store at 4°C short term. Aliquot and store at -20°C long term. Avoid freeze/thaw cycles. |
| Species Reactivity | Human, Mouse |
| Immunogen | Synthetic peptide of human IPO9 |
| Formulation | pH7.4 PBS, 0.05% NaN3, 40% Glycerol |
| Application | |
|---|---|
| WB | 1/200-1/1000 |
| IHC | 1/50-1/200 |
| ELISA | 1/1000-1/2000 |
![]() |
Gel: 6%SDS-PAGE, Lysate: 40 μg, Lane 1-2: Human fetal brain tissue, Hela cells, Primary antibody: P04970(IPO9 Antibody) at dilution 1/200, Secondary antibody: Goat anti rabbit IgG at 1/8000 dilution, Exposure time: 30 seconds |
![]() |
The image is immunohistochemistry of paraffin-embedded Human thyroid cancer tissue using P04970(IPO9 Antibody) at dilution 1/40. (Original magnification: ×200) |
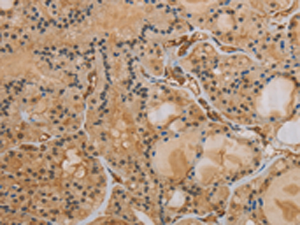
![]() |
The image is immunohistochemistry of paraffin-embedded Human brain tissue using P04970(IPO9 Antibody) at dilution 1/40. (Original magnification: ×200) |
本公司的所有产品仅用于科学研究或者工业应用等非医疗目的,不可用于人类或动物的临床诊断或治疗,非药用,非食用。
暂无评论
本公司的所有产品仅用于科学研究或者工业应用等非医疗目的,不可用于人类或动物的临床诊断或治疗,非药用,非食用。
中文



发表回复