别名:IP5K; IPK1; C9orf12; INSP5K2; bA476B13.1应用:WB,IHC
反应种属:Human, Mouse, Rat
规格:50μl/100μl
| Description |
|---|
| The protein encoded by this gene is a kinase that phosphorylates position 2 of inositol-1,3,4,5,6-pentakisphosphate to form inositol-1,2,3,4,5,6-hexakisphosphate (InsP6). InsP6 has a variety of functions, including stimulation of DNA repair, endocytosis, and mRNA export. |
| Specification | |
|---|---|
| Aliases | IP5K; IPK1; C9orf12; INSP5K2; bA476B13.1 |
| Swissprot | Q9H8X2 |
| WB Predicted band size | 56 kDa |
| Host/Isotype | Rabbit IgG |
| Storage | Store at 4°C short term. Aliquot and store at -20°C long term. Avoid freeze/thaw cycles. |
| Species Reactivity | Human, Mouse, Rat |
| Immunogen | Synthetic peptide of human IPPK |
| Formulation | pH7.4 PBS, 0.05% NaN3, 40% Glycerol |
| Application | |
|---|---|
| WB | 1/500-1/2000 |
| IHC | 1/30-1/150 |
| ELISA | 1/5000-1/10000 |
![]() |
Gel: 8%SDS-PAGE, Lysate: 40 μg, Lane: Mouse pancreas tissue lysate, Primary antibody: P06757(IPPK Antibody) at dilution 1/350, Secondary antibody: Goat anti rabbit IgG at 1/8000 dilution, Exposure time: 10 seconds |
![]() |
The image is immunohistochemistry of paraffin-embedded Human tonsil tissue using P06757(IPPK Antibody) at dilution 1/30. (Original magnification: ×200) |
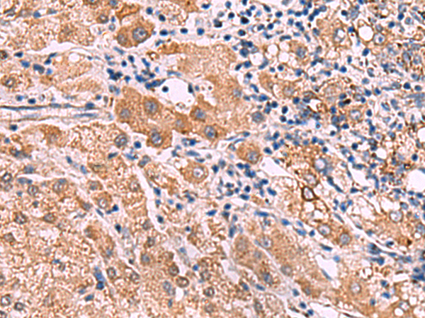
![]() |
The image is immunohistochemistry of paraffin-embedded Human liver cancer tissue using P06757(IPPK Antibody) at dilution 1/30. (Original magnification: ×200) |
本公司的所有产品仅用于科学研究或者工业应用等非医疗目的,不可用于人类或动物的临床诊断或治疗,非药用,非食用。
暂无评论
本公司的所有产品仅用于科学研究或者工业应用等非医疗目的,不可用于人类或动物的临床诊断或治疗,非药用,非食用。
中文



发表回复