别名:IQ domain-containing protein J, IQCJ应用:WB,IHC,FCM
反应种属:Human, Mouse
规格:50μl/100μl
| Specification | |
|---|---|
| Aliases | IQ domain-containing protein J, IQCJ |
| Entrez GeneID | 654502 |
| Swissprot | Q1A5X6 |
| WB Predicted band size | 18.2kDa |
| Host/Isotype | Rabbit IgG |
| Storage | Store at 4°C short term. Aliquot and store at -20°C long term. Avoid freeze/thaw cycles. |
| Species Reactivity | Human, Mouse |
| Immunogen | This IQCJ antibody is generated from rabbits immunized with a KLH conjugated synthetic peptide between 98-126 amino acids from the C-terminal region of human IQCJ. |
| Formulation | Purified polyclonal antibody supplied in PBS with 0.05% sodium azide. This antibody is purified through a protein A column, followed by peptide affinity purification. |
| Application | |
|---|---|
| WB | 1/1000 |
| IHC | 1/100-1/500 |
| FCM | 1/10-1/50 |
![]() |
IQCJ Antibody (C-term) (Cat. #P30873) western blot analysis in K562 cell line lysates (35ug/lane).This demonstrates the IQCJ antibody detected the IQCJ protein (arrow). |
![]() |
IQCJ Antibody (C-term) (Cat. #P30873) western blot analysis in mouse NIH-3T3 cell line lysates (35ug/lane).This demonstrates the IQCJ antibody detected the IQCJ protein (arrow). |
![]() |
IQCJ Antibody (C-term) (Cat. #P30873) flow cytometric analysis of K562 cells (right histogram) compared to a negative control cell (left histogram).FITC-conjugated goat-anti-rabbit secondary antibodies were used for the analysis. |
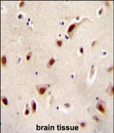
![]() |
IQCJ Antibody (C-term) (Cat. #P30873) immunohistochemistry analysis in formalin fixed and paraffin embedded human brain tissue followed by peroxidase conjugation of the secondary antibody and DAB staining. This data demonstrates the use of the IQCJ Antibody (C-term) for immunohistochemistry. Clinical relevance has not been evaluated. |
本公司的所有产品仅用于科学研究或者工业应用等非医疗目的,不可用于人类或动物的临床诊断或治疗,非药用,非食用。
暂无评论
本公司的所有产品仅用于科学研究或者工业应用等非医疗目的,不可用于人类或动物的临床诊断或治疗,非药用,非食用。
中文




发表回复