别名:BRAG2; GEP100; ARFGEP100; ARF-GEP100应用:IHC
反应种属:Human, Mouse
规格:50μl/100μl
| Description |
|---|
| Guanine nucleotide exchange factor for ARF1 and ARF6 (PubMed:24058294). Guanine nucleotide exchange factor activity is enhanced by lipid binding (PubMed:24058294). Accelerates GTP binding by ARFs of all three classes. Guanine nucleotide exchange protein for ARF6, mediating internalisation of beta-1 integrin. |
| Specification | |
|---|---|
| Aliases | BRAG2; GEP100; ARFGEP100; ARF-GEP100 |
| Swissprot | Q6DN90 |
| Host/Isotype | Rabbit IgG |
| Storage | Store at 4°C short term. Aliquot and store at -20°C long term. Avoid freeze/thaw cycles. |
| Species Reactivity | Human, Mouse |
| Immunogen | Fusion protein of human IQSEC1 |
| Formulation | pH7.4 PBS, 0.05% NaN3, 40% Glycerol |
| Application | |
|---|---|
| IHC | 1/150-1/300 |
| ELISA | 1/5000-1/10000 |
![]() |
The image is immunohistochemistry of paraffin-embedded Human colorectal cancer tissue using P03460(IQSEC1 Antibody) at dilution 1/145. (Original magnification: ×200) |
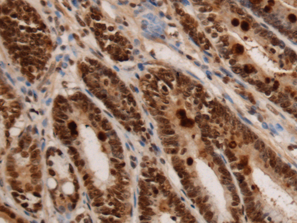
![]() |
The image is immunohistochemistry of paraffin-embedded Human gastric cancer tissue using P03460(IQSEC1 Antibody) at dilution 1/145. (Original magnification: ×200) |
本公司的所有产品仅用于科学研究或者工业应用等非医疗目的,不可用于人类或动物的临床诊断或治疗,非药用,非食用。
暂无评论
本公司的所有产品仅用于科学研究或者工业应用等非医疗目的,不可用于人类或动物的临床诊断或治疗,非药用,非食用。
中文


发表回复