别名:IRF3; Interferon regulatory factor 3; IRF-3应用:WB,IHC,ICC,FCM
反应种属:Human,Mouse,Rat
规格:50μl/100μl
| Description |
|---|
| IRFs comprise a family of transcription factors that function within the Jak/Stat pathway to regulate interferon (IFN) and IFN-inducible gene expression in response to viral infection. IRF-3 can inhibit cell growth and plays a critical role in controlling the expression of genes in the innate immune response. |
| Specification | |
|---|---|
| Aliases | IRF3; Interferon regulatory factor 3; IRF-3 |
| Entrez GeneID | 3661 |
| Swissprot | Q14653 |
| WB Predicted band size | Calculated MW: 47 kDa; Observed MW: 57 kDa |
| Host/Isotype | Rabbit IgG |
| Storage | Store at 4°C short term. Aliquot and store at -20°C long term. Avoid freeze/thaw cycles. |
| Species Reactivity | Human,Mouse,Rat |
| Immunogen | A synthesized peptide derived from human IRF3 |
| Formulation | Rabbit IgG in phosphate buffered saline , pH 7.4, 150mM NaCl, 0.02% sodium azide and 50% glycerol. |
| Application | |
|---|---|
| WB | 1/500-1/1000 |
| IHC | 1/50-1/100 |
| ICC | 1/50-1/200 |
| FCM | 1/50-1/100 |
![]() |
Western blot analysis of IRF3 in (1) HeLa lysates; (2) 3T3 lysates using IRF3 antibody. |
![]() |
Immunofluorescence analysis of IRF3 in Jurkat using IRF3 antibody. |
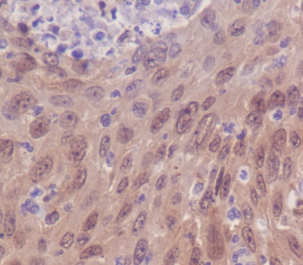
![]() |
Immunohistochemistry analysis of paraffin-embedded Human cervix carcinoma using IRF3 antibody.High-pressure and temperature Sodium Citrate pH 6.0 was used for antigen retrieval. |
本公司的所有产品仅用于科学研究或者工业应用等非医疗目的,不可用于人类或动物的临床诊断或治疗,非药用,非食用。
暂无评论
本公司的所有产品仅用于科学研究或者工业应用等非医疗目的,不可用于人类或动物的临床诊断或治疗,非药用,非食用。
中文



发表回复