别名:IFGGE; IRGC1; Iigp5; CINEMA; R30953_1应用:WB,IHC
反应种属:Human, Mouse, Rat
规格:50μl/100μl
| Description |
|---|
| Immunity-related GTPases (IRG) (also known as p47 GTPases) are a family of GTPase proteins found in vertebrates, which play critical roles in mediating innate resistance to intracellular pathogens. IRG genes have been found in a number of mammals and lower species including mice, rats, zebrafish and humans. Most of the mouse genes contain interferon-stimulated response elements which mediate transcriptional activation by IFNs. In humans, only two IRG genes have been found: human IRGC encodes a full-length IRG protein that, like the mouse homologue, is constitutively expressed in testis, while human IRGM encodes a considerably truncated protein that is constitutively expressed in cultured cells including some macrophage cell lines. As the two human genes IRGC and IRGM are not subject to IFN control, it has been suggested that the host resistance mechanism supported by IRG proteins in the mouse is lacking in humans. |
| Specification | |
|---|---|
| Aliases | IFGGE; IRGC1; Iigp5; CINEMA; R30953_1 |
| Swissprot | Q6NXR0 |
| WB Predicted band size | 50 kDa |
| Host/Isotype | Rabbit IgG |
| Storage | Store at 4°C short term. Aliquot and store at -20°C long term. Avoid freeze/thaw cycles. |
| Species Reactivity | Human, Mouse, Rat |
| Immunogen | Synthetic peptide of human IRGC |
| Formulation | pH7.4 PBS, 0.05% NaN3, 40% Glycerol |
| Application | |
|---|---|
| WB | 1/200-1/1000 |
| IHC | 1/30-1/150 |
| ELISA | 1/5000-1/10000 |
![]() |
Gel: 8%SDS-PAGE, Lysate: 40 μg, Lane: TM4 cell lysate, Primary antibody: P13642(IRGC Antibody) at dilution 1/300, Secondary antibody: Goat anti rabbit IgG at 1/8000 dilution, Exposure time: 20 seconds |
![]() |
The image is immunohistochemistry of paraffin-embedded Human tonsil tissue using P13642(IRGC Antibody) at dilution 1/35. (Original magnification: ×200) |
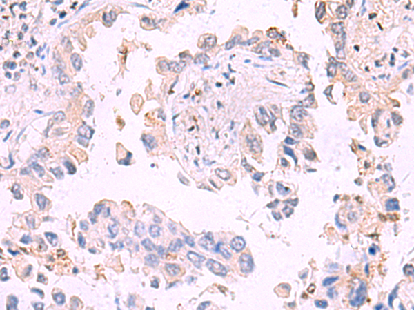
![]() |
The image is immunohistochemistry of paraffin-embedded Human lung cancer tissue using P13642(IRGC Antibody) at dilution 1/35. (Original magnification: ×200) |
本公司的所有产品仅用于科学研究或者工业应用等非医疗目的,不可用于人类或动物的临床诊断或治疗,非药用,非食用。
暂无评论
本公司的所有产品仅用于科学研究或者工业应用等非医疗目的,不可用于人类或动物的临床诊断或治疗,非药用,非食用。
中文



发表回复