别名:ISM; Isthmin; C20orf82; bA149I18.1; dJ1077I2.1应用:WB,IHC
反应种属:Human, Mouse
规格:50μl/100μl
| Description |
|---|
| Acts as an angiogenesis inhibitor. |
| Specification | |
|---|---|
| Aliases | ISM; Isthmin; C20orf82; bA149I18.1; dJ1077I2.1 |
| Swissprot | B1AKI9 |
| WB Predicted band size | 52 kDa |
| Host/Isotype | Rabbit IgG |
| Storage | Store at 4°C short term. Aliquot and store at -20°C long term. Avoid freeze/thaw cycles. |
| Species Reactivity | Human, Mouse |
| Immunogen | Synthetic peptide of human ISM1 |
| Formulation | pH7.4 PBS, 0.05% NaN3, 40% Glycerol |
| Application | |
|---|---|
| WB | 1/1000-1/5000 |
| IHC | 1/50-1/300 |
| ELISA | 1/5000-1/10000 |
![]() |
Gel: 8%SDS-PAGE, Lysate: 40 μg, Lane: HepG2 cell lysate, Primary antibody: P06767(ISM1 Antibody) at dilution 1/1000, Secondary antibody: Goat anti rabbit IgG at 1/5000 dilution, Exposure time: 7 seconds |
![]() |
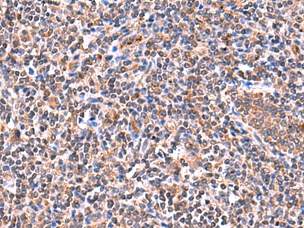
The image is immunohistochemistry of paraffin-embedded Human tonsil tissue using P06767(ISM1 Antibody) at dilution 1/60. (Original magnification: ×200) |
本公司的所有产品仅用于科学研究或者工业应用等非医疗目的,不可用于人类或动物的临床诊断或治疗,非药用,非食用。
暂无评论
本公司的所有产品仅用于科学研究或者工业应用等非医疗目的,不可用于人类或动物的临床诊断或治疗,非药用,非食用。
中文


发表回复