别名:HsT18964应用:WB,IHC
反应种属:Human
规格:50μl/100μl
| Description |
|---|
| This gene encodes an alpha integrin. Integrins are heterodimeric integral membrane proteins composed of an alpha chain and a beta chain. This protein contains an I domain, is expressed in muscle tissue, dimerizes with beta 1 integrin in vitro, and appears to bind collagen in this form. Therefore, the protein may be involved in attaching muscle tissue to the extracellular matrix. Alternative transcriptional splice variants have been found for this gene, but their biological validity is not determined. |
| Specification | |
|---|---|
| Aliases | HsT18964 |
| Swissprot | Q9UKX5 |
| WB Predicted band size | 133 kDa |
| Host/Isotype | Rabbit IgG |
| Storage | Store at 4°C short term. Aliquot and store at -20°C long term. Avoid freeze/thaw cycles. |
| Species Reactivity | Human |
| Immunogen | Synthetic peptide of human ITGA11 |
| Formulation | pH7.4 PBS, 0.05% NaN3, 40% Glycerol |
| Application | |
|---|---|
| WB | 1/500-1/2000 |
| IHC | 1/50-1/200 |
| ELISA | 1/5000-1/10000 |
![]() |
Gel: 6%SDS-PAGE, Lysate: 40 μg, Lane 1-5: A549, Hela, HepG2, 293T, K562 cell lysates, Primary antibody: P04974(ITGA11 Antibody) at dilution 1/400, Secondary antibody: Goat anti rabbit IgG at 1/5000 dilution, Exposure time: 40 seconds |
![]() |
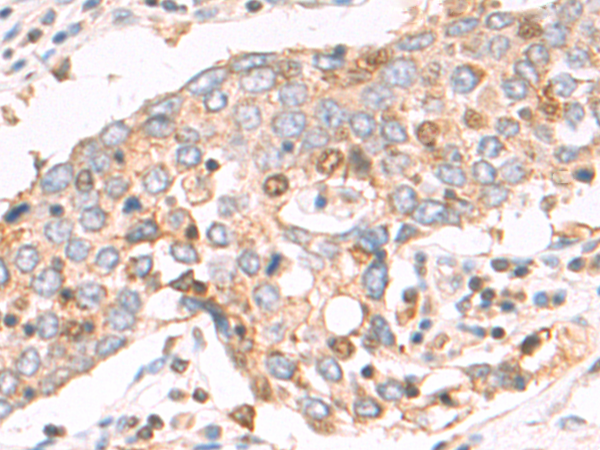
The image is immunohistochemistry of paraffin-embedded Human gastric cancer tissue using P04974(ITGA11 Antibody) at dilution 1/50. (Original magnification: ×200) |
![]() |
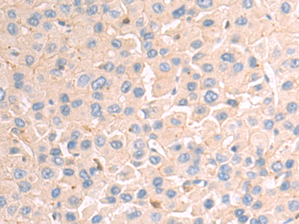
The image is immunohistochemistry of paraffin-embedded Human liver cancer tissue using P04974(ITGA11 Antibody) at dilution 1/50. (Original magnification: ×200) |
本公司的所有产品仅用于科学研究或者工业应用等非医疗目的,不可用于人类或动物的临床诊断或治疗,非药用,非食用。
暂无评论
本公司的所有产品仅用于科学研究或者工业应用等非医疗目的,不可用于人类或动物的临床诊断或治疗,非药用,非食用。
中文



发表回复