别名:ICAP1; ICAP1A; ICAP1B; ICAP-1A; ICAP-1B; ICAP-1alpha应用:IHC
反应种属:Human, Mouse
规格:50μl/100μl
| Description |
|---|
| The cytoplasmic domains of integrins are essential for cell adhesion. The protein encoded by this gene binds to the beta1 integrin cytoplasmic domain. The interaction between this protein and beta1 integrin is highly specific. Two isoforms of this protein are derived from alternatively spliced transcripts. The shorter form of this protein does not interact with the beta1 integrin cytoplasmic domain. The longer form is a phosphoprotein and the extent of its phosphorylation is regulated by the cell-matrix interaction, suggesting an important role of this protein during integrin-dependent cell adhesion. Several transcript variants, some protein-coding and some non-protein coding, have been found for this gene. |
| Specification | |
|---|---|
| Aliases | ICAP1; ICAP1A; ICAP1B; ICAP-1A; ICAP-1B; ICAP-1alpha |
| Swissprot | O14713 |
| Host/Isotype | Rabbit IgG |
| Storage | Store at 4°C short term. Aliquot and store at -20°C long term. Avoid freeze/thaw cycles. |
| Species Reactivity | Human, Mouse |
| Immunogen | Fusion protein of human ITGB1BP1 |
| Formulation | pH7.4 PBS, 0.05% NaN3, 40% Glycerol |
| Application | |
|---|---|
| IHC | 1/50-1/100 |
| ELISA | 1/5000-1/10000 |
![]() |
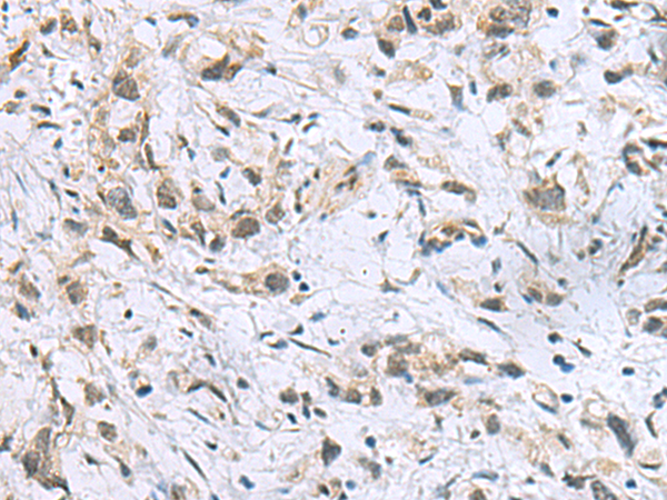
The image is immunohistochemistry of paraffin-embedded Human liver cancer tissue using P03291(ITGB1BP1 Antibody) at dilution 1/60. (Original magnification: ×200) |
![]() |
The image is immunohistochemistry of paraffin-embedded Human gastric cancer tissue using P03291(ITGB1BP1 Antibody) at dilution 1/60. (Original magnification: ×200) |
本公司的所有产品仅用于科学研究或者工业应用等非医疗目的,不可用于人类或动物的临床诊断或治疗,非药用,非食用。
暂无评论
本公司的所有产品仅用于科学研究或者工业应用等非医疗目的,不可用于人类或动物的临床诊断或治疗,非药用,非食用。
中文


发表回复